Chiamaci o fornisci i tuoi recapiti qui sotto e un rappresentante di Dentsply Sirona ti contatterà a breve.
Il flusso di lavoro digitale con i blocchetti CEREC ti permette di eseguire restauri indiretti in una singola visita. Gli scambi non dovrebbero far parte del processo di riflessione. Con la nostra tecnologia all’avanguardia non devi scendere a compromessi. Estetica e forza. Forza e velocità. Estetiche e velocità. Qualunque sia la combinazione che desideri abbiamo la soluzione per aiutarti a fornire restauri all’avanguardia.
CEREC Tessera™ - il disilicato di litio avanzato può essere integrato nel tuo flusso di lavoro digitale come blocchetto di vetroceramica. Insieme a CEREC MTL® Zirconia completa l’offerta di blocchetti CEREC.
I blocchetti di abutment CEREC Tessera™ sono un’estensione dei blocchetti di disilicato di litio avanzati CEREC Tessera™. La struttura ceramica CEREC Tessera™ cementata su TiBase è consigliata per abutment ibridi in due pezzi per restauri a dente singolo e corone per abutment ibridi, utilizzati in combinazione con impianti dentali endossei.
Vantaggi
Fino al 32% più forte della concorrenza con resistenza biassiale misurata oltre 700 MPa.1
La struttura a doppio cristallo è progettata per interagire con lo spettro della luce visibile per traslucenza, fluorescenza e opalescenza ideali.
I clinici possono risparmiare fino al 44% del tempo di elaborazione totale (fresatura e cottura) senza compromettere l’intera gamma di opzioni estetiche.1
Indicato per corone a contorno completo di unità singole, inlay, onlay e faccette.
1. Dati interni in archivio. Per ulteriori informazioni, contattare Consumables-Data-Requests@dentsplysirona.com
INFORMAZIONI SUL DISILICATO DI LITIO AVANZATO
Testimonianze
"“Il molaggio dei margini è riuscito veramente bene, così come la tinta, perfetta per il caso clinico. Non ho avuto bisogno di apportare ulteriori modifiche."."
Shivi Gupta, DDS
“Il tempo di cottura è la vera novità di questo materiale.”
Michael Snider, DMD
INFORMAZIONI SU CEREC TESSERA™
1. Dati interni in archivio. Per ulteriori informazioni, contattare Consumables-Data-Requests@dentsplysirona.com
1. Dati interni in archivio. Per ulteriori informazioni, contattare Consumables-Data-Requests@dentsplysirona.com
1. Dati interni in archivio. Per ulteriori informazioni, contattare Consumables-Data-Requests@dentsplysirona.com
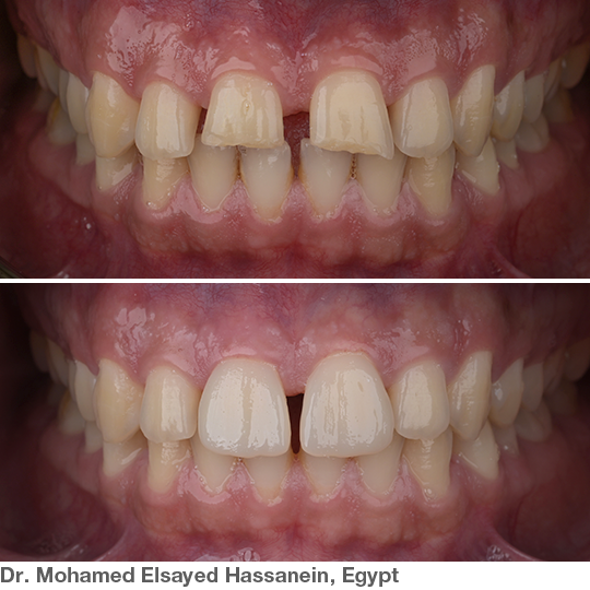
FLUSSO DI LAVORO DELLA CORONA A UNITÀ SINGOLA
I blocchetti CEREC Tessera™ consentono di accelerare i tempi di lavoro in modo sorprendente e di aumentare quindi la soddisfazione del paziente e la produttività dello studio, da momento che sono sufficienti solo 4,5 minuti di cottura in un forno CEREC SpeedFire®1, anche con i supercolori.
PROCEDURA DI RIPRISTINO TIBASE DELL’IMPIANTO ALLA POLTRONA
I blocchetti CEREC Tessera™ sono progettati per il flusso di lavoro in studio e possono essere rifiniti in modo rapido e affidabile. Scegli questa potente combinazione per flussi di lavoro più efficienti. Combina tutti gli elementi per il successo della ricostruzione dell’impianto TiBase.
In questo flusso di lavoro, un blocchetto per abutment CEREC Tessera™ viene utilizzato come corona a copertura completa cementata per via extraorale su TiBase. Viene quindi avvitato nel sistema implantare. Il composito (come Ceram.x Spectra® ST) viene utilizzato per riempire il canale della vite e completare la ricostruzione.
Il software Primescan e CEREC® offre velocità, semplicità e accuratezza nelle impronte digitali ad alta risoluzione, per migliori risultati clinici e potenziali profitti maggiori.
CEREC® Primemill offre qualità, velocità, convenienza e versatilità per margini e dettagli superficiali eccezionali.
CEREC SpeedFire® è il forno di sinterizzazione più piccolo e veloce sul mercato. Vetrifica un abutment CEREC Tessera™ in circa 4,5 minuti.
In questo flusso di lavoro, viene utilizzato un blocco per abutment CEREC Tessera™ per creare un abutment personalizzato su cui cementare qualsiasi corona a copertura completa. Il blocchetto per abutment CEREC Tessera™ viene cementato per via extraorale su una TiBase e avvitato intraoralmente nel sistema implantare. Una corona a copertura completa viene quindi cementata intraoralmente.
Il software Primescan e CEREC® offre velocità, semplicità e accuratezza nelle impronte digitali ad alta risoluzione, per migliori risultati clinici e potenziali profitti maggiori.
CEREC® Primemill offre qualità, velocità, convenienza e versatilità per margini e dettagli superficiali eccezionali.
CEREC SpeedFire® è il forno di sinterizzazione più piccolo e veloce sul mercato. Vetrifica le corone per abutment CEREC Tessera™ in circa 4,5 minuti.
Ulteriori risorse sono disponibili nel nostro Centro download.
1. Dati interni in archivio. Per ulteriori informazioni, contatta Consumables-Data-Requests@dentsplysirona.com