Questa raccolta presenta vari casi clinici che dimostrano l’ampia gamma di indicazioni applicabili a CEREC Tessera, dai restauri in studio con visita singola alle sfide altamente estetiche e alle riabilitazioni orali complete, compresi i restauri realizzati in laboratorio.
Lasciati ispirare e sperimenta come questa tecnologia intelligente possa supportare il tuo lavoro per rendere l’esperienza di trattamento per te e per i tuoi pazienti migliore, più sicura e più veloce.


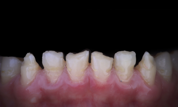
Amelogenesi imperfetta

Riabilitazione completa della bocca con 28 restauri in ceramica integrale

Un caso particolare e prolungato di malocclusione scheletrica di classe II e amelogenesi imperfetta generalizzata in un adolescente è stato sottoposto a riabilitazione protesica. L'obiettivo del trattamento era quello di preparare la struttura dentale rimanente, rimuovere i sottosquadri e fare spazio a corone in ceramica integrale che coprissero l'intera dentina e simulassero lo smalto perduto.

Prima: Situazione iniziale prima del trattamento ortodontico.

Dopo: Risultato finale, 1 settimana dopo l'intervento.

Alexander Declerck, (DDS, MSc)

Sint-Martens-Latem, Belgium


Faccette di preparazione minima dopo il trauma degli incisivi centrali superiori

Restauro con un materiale altamente estetico in un giorno, dopo un trauma agli incisivi centrali mascellari.

Prima: Situazione clinica pre-operatoria. Trauma degli incisivi centrali superiori

Dopo: Restauri adesivi.

Dr. Mohamed Hassanien

Cairo, Egypt


Riabilitazione estetica dell’amelogenesi imperfetta

CEREC Tessera

Una riabilitazione estetica nella regione anteriore può essere realizzata con restauri labside CEREC Tessera rivestiti con Celtra Ceram. 

Prima: L’obiettivo del trattamento era di riabilitare la mascella e la mandibola anteriori per il miglioramento estetico. La diagnosi clinica ha rivelato ameloenesi imperfetta.

Dopo: restauro realizzato in laboratorio in ceramica al disilicato di litio avanzato CEREC Tessera e, per l’elevato risultato estetico, rivestito con Celtra Ceram.

Sabine Mayer (CDT)

Coblenza, Germania

Mario Pace (CDT)

Lahnstein, Germania


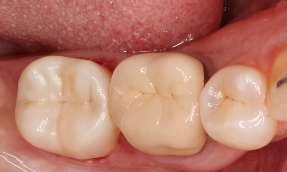
Secondo molare inferiore destro in 90 minuti

Un onlay in CEREC Tessera

Una paziente di 20 anni è stata sottoposta a trattamento endodontico del secondo molare inferiore destro. È stato realizzato un onlay chairside con la nuova ceramica ad alta resistenza CEREC Tessera.

Prima: Scenario clinico pre-operatorio dopo la terapia endodontica.

Dopo: 1 mese dopo l’incollaggio dell’onlay CEREC Tessera.

Dr. Aniruddha Nene

Pune, India


Amelogenesi imperfetta

Riabilitazione completa della bocca con 28 restauri in ceramica integrale

Un caso particolare e prolungato di malocclusione scheletrica di classe II e amelogenesi imperfetta generalizzata in un adolescente è stato sottoposto a riabilitazione protesica. L'obiettivo del trattamento era quello di preparare la struttura dentale rimanente, rimuovere i sottosquadri e fare spazio a corone in ceramica integrale che coprissero l'intera dentina e simulassero lo smalto perduto.

Prima: Situazione iniziale prima del trattamento ortodontico.

Dopo: Risultato finale, 1 settimana dopo l'intervento.

Alexander Declerck, (DDS, MSc)

Sint-Martens-Latem, Belgium


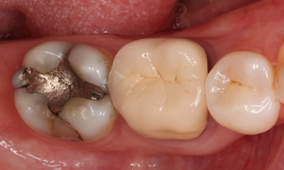
Restauro chairside del secondo molare inferiore

Una corona parziale CEREC Tessera

Un secondo molare inferiore sensibile presentava crepe e un esteso restauro in composito di Classe I sulla superficie buccale. Secondo il concetto di minima invasività, una corona parziale CAD/CAM è stata progettata, realizzata e incollata con CEREC Tessera in un'unica visita.

Prima: Restauro in amalgama fallito che deve essere sostituito. Il paziente lamenta sensibilità e un dente che presenta crepe multiple.

Dopo: Restauro di corona parziale CAD/CAM realizzato in studio con la vetroceramica CEREC Tessera Advanced Lithium-Disilicate.

Dr. Carlos Eduardo Sabrosa

Rio de Janeiro, Brasil


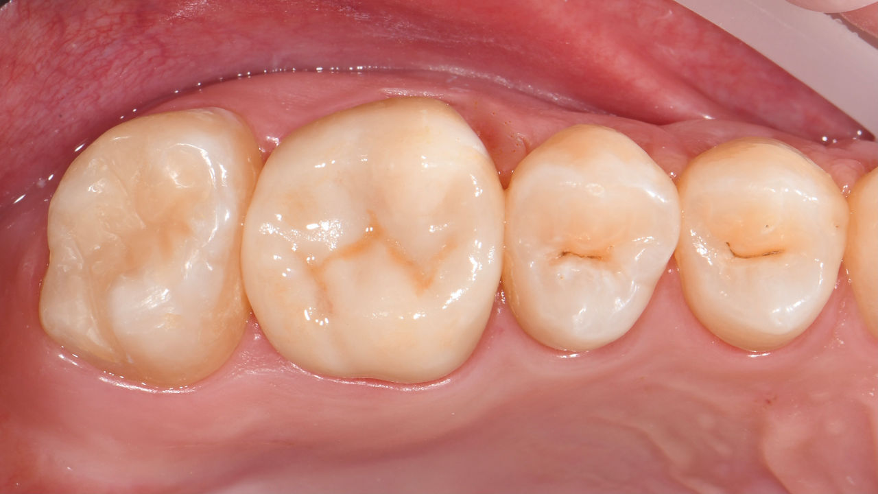
Primo molare superiore in 100 minuti

Un inlay in CEREC Tessera

Il restauro chairside in un’unica visita si è rivelato una soluzione particolarmente efficace e confortevole per questa paziente, poiché il suo tragitto fino allo studio era di 50 chilometri. È stato possibile realizzare un inlay altamente estetico con CEREC Tessera.

Prima: Restauro in ceramica fratturata realizzato con vetroceramica rinforzata con leucite dopo un tempo di servizio clinico di 12 anni.

Dopo: Restauro realizzato chairside in ceramica CEREC Tessera disilicata al litio avanzata.

Dott. Sven Rinke

Hanau, Germania


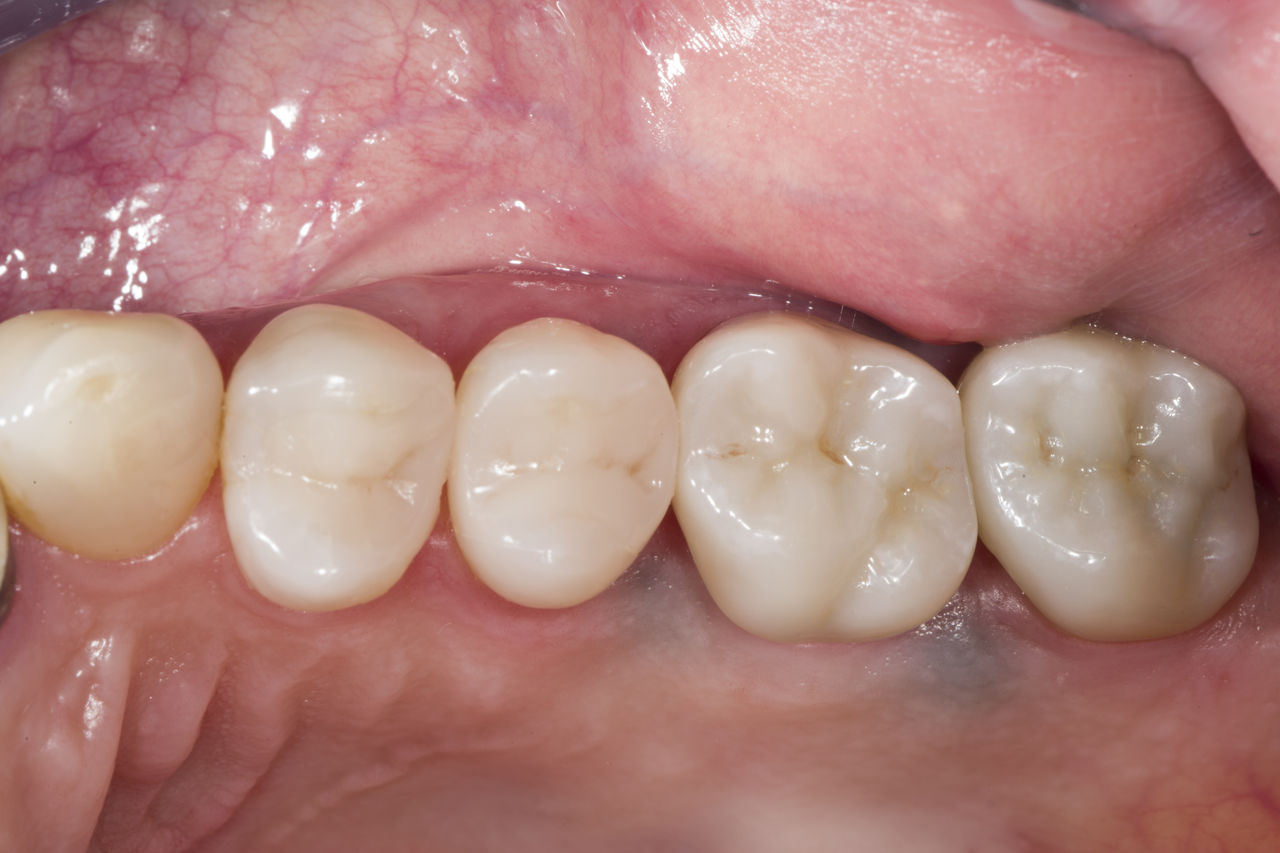
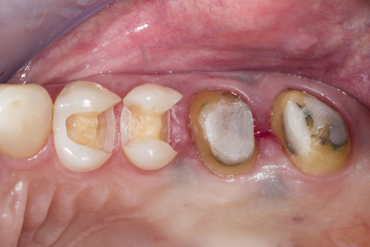
Riabilitazione del quadrante

Due corone CEREC Tessera e due inlay 

In un’unica visita di quattro ore è stato eseguito il restauro di due corone e due intarsi, che avevano 15 anni. La paziente è rimasta molto soddisfatta dell’ottimo risultato estetico.

Prima: Otturazioni insufficienti nel secondo quadrante. I restauri avevano circa 15 anni.

Dopo: Corone realizzate chairside in CEREC Tessera (denti 26/27). Inlay per denti 24 e 25 realizzati con blocchetti in composito.

Dott. Andreas Bindl

Zurigo, Svizzera


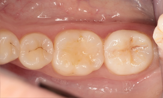
Primo molare superiore in 90 minuti 

Una corona in CEREC Tessera

Il restauro del primo molare superiore in una singola visita è stato possibile grazie all’efficiente flusso di lavoro CEREC con CEREC Primemill e CEREC SpeedFire. Il paziente è stato estremamente soddisfatto del breve tempo di trattamento e del risultato estetico.

Prima: Il primo molare superiore era stato restaurato con un’otturazione in composito estesa ma insufficiente, che presentava già fratture visibili.

Dopo: Restauro realizzato chairside con una ceramica avanzata a base di disilicato di litio, CEREC Tessera.

Dott. Shivi Gupta

San Diego, Stati Uniti


Contattaci

Scopri di più sui nostri prodotti e soluzioni per il restauro.