Dowiedz się, jak technologia druku 3D może usprawnić Twoją pracę. Korzystając z przypadków klinicznych, Twoi współpracownicy wykazują wartość dodaną Primeprint w codziennej praktyce i zadaniach laboratoryjnych. Jako stomatolog zauważysz: Twoi pacjenci są pod wrażeniem nowoczesnej technologii i doceniają doświadczenie stomatologii na wysokim poziomie. Technicy, którzy korzystają z technologii druku 3D, mogą dodatkowo wskazać swoim partnerom gabinetowym, że skupiają się w laboratorium na produkcji cyfrowej.

Szablon wydrukowany w 3D do implantologii

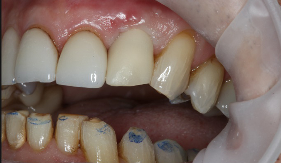
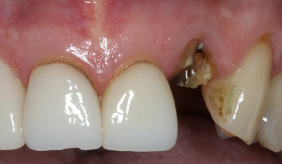
62-letni mężczyzna pojawił się moim gabinecie z pękniętym zębem nr 10, który nie nadawał się do odbudowy. Zaplanowaliśmy pojedynczy implant z szablonem chirurgicznym i tymczasowym mostem – oba produkowane z Primeprint. Zabieg zakończył się w ciągu 20 minut, a wiązanie tymczasowego mostu zajęło nam 10 minut.

Przed: Początkowa sytuacja ze złamanym, nienadającym się do odbudowy zębem nr 10

Wykorzystanie: Umieszczenie wydrukowanego w 3D szablonu chirurgicznego z materiałem Primeprint Guide o doskonałym dopasowaniu

Po: Umieszczenie wydrukowanego w 3D jednoskrzydłowego mostu Maryland z materiałem Primeprint Temp w funkcji tymczasowej odbudowy

Dr Wydrukowany w 3D model

Centennial, USA

Dan Butterman z rowkowanymi matrycami do odnowy zębów przednich

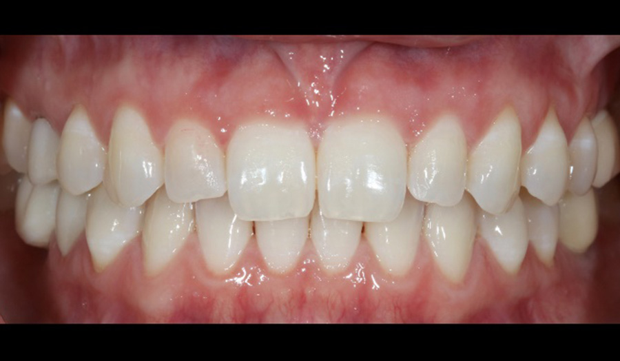
47-letnia kobieta zgłosiła się do mojego gabinetu z obawami o sześć przednich koron z tlenku cyrkonu, niedawno wykonanych w innym gabinecie. Efektywność i łatwość użytkowania rozwiązania Primeprint pozwala mi szybko drukować modele tego samego dnia zabiegu, co umożliwia przedstawienie pacjentowi podglądu zabiegu przed jego końcową produkcją z użyciem CEREC Primemill.

Przed: Początkowa sytuacja jamy ustnej ze znaczną asymetrią warg widoczną w uśmiechu

Wykorzystanie: Wydrukowany w 3D model z rowkowanymi matrycami wyprodukowanymi z materiału modelowego Primeprint

Po: Odbudowa końcowa 

Dr Mike Skramstad

Orono, Stany Zjednoczone

Dan Butterman szyna przeciw bruksizmowi nocnemu

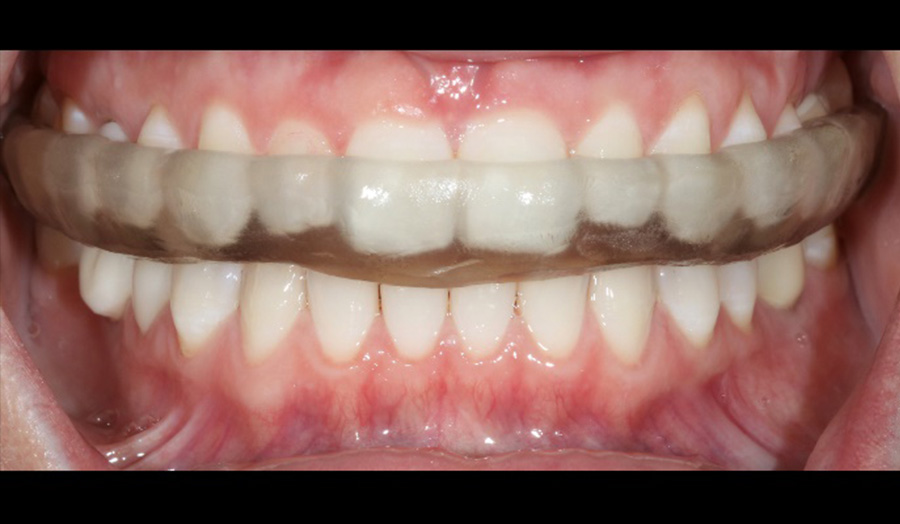
34-letni mężczyzna pojawił się w moim gabinecie z objawami nocnego bruksizmu, skarżąc się na bóle mięśni i gardła. Zdecydowaliśmy, że zużycie uzębienia zmniejszy zakładanie na noc zdejmowanej osłony ust.

Przed: Początkowa sytuacja jamy ustnej z objawami

bruksizmu nocnego

Wykorzystanie: Finalizacja obiektu do wydruku

Po: Wydrukowana w 3D odłączana szyna wykonana z materiału szyny Primeprint

Dr Meena Barsoum

Arlington Heights, Stany Zjednoczone

Dan Butterman szablon chirurgiczny do implantologii i drukowanych w 3D tymczasowych odbudów

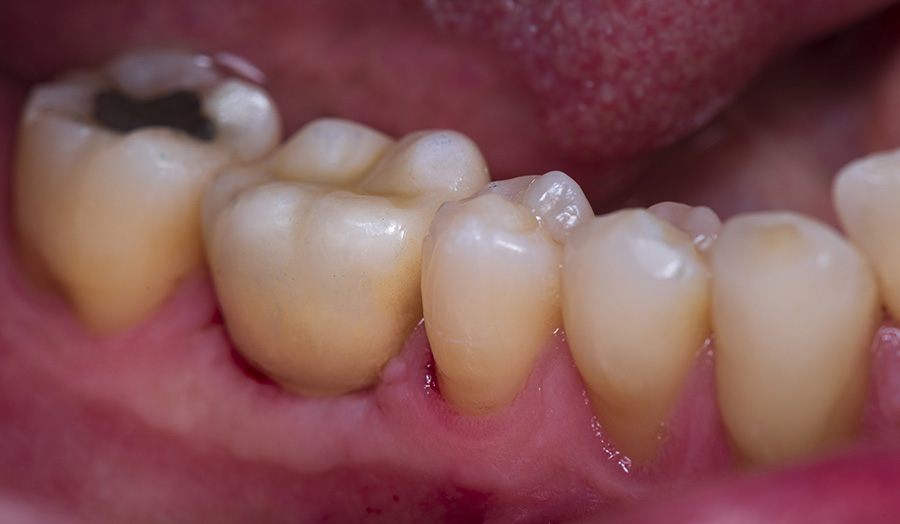
58-letni pacjent pojawił się z brakującym zębem nr 30 w celu przywrócenia naturalnej funkcji żucia przy zachowaniu zdrowej struktury zęba. Przestrzeń miała zostać wypełniona za pomocą implantu i ceramicznej korony. Zaplanowałam i wdrożyłam leczenie cyfrowe.

Przed: Początkowa sytuacja ustna brakującego zęba

Wykorzystanie: Wydrukowany w 3D szablon chirurgiczny wykonany z materiału Primeprint Guide

Po: Wydrukowana w 3D odbudowa z materiałem Primeprint Temp (pierwsze porównanie) i odbudowa końcowa (drugie porównanie)

Dr Gerd Frahsek

Velbert, Niemcy

Dan Butterman indywidualna łyżka wyciskowa

Wysoce estetyczna zdejmowana proteza bez widocznych elementów mocujących została wykonana dla 73-letniej pacjentki z kilkoma pozostałymi zębami, która wcześniej nosiła protezę w modelu odlewanym. Czuła się jak dotąd niekomfortowo z konwencjonalnymi wyciskami i chciała ich uniknąć. Należało ograniczyć do minimum konieczność zastosowania wycisków. 

Przed: Początkowa sytuacja modelu cyfrowego żuchwy pacjenta

Wykorzystanie: Wydrukowana w 3D łyżka wyciskowa wykonana z wydrukowanego w 3D modelu Primeprint i materiału Primeprint Model

Christian Schuchmann

Darmstadt, Niemcy

Kontakt

Dowiedz się więcej o systemie Primeprint firmy Dentsply Sirona.