Acervo de casos clínicos endodônticos

TruNatomy é uma solução endodôntica abrangente que oferece:

  • Sensação suave durante a preparação
  • Melhor desempenho e eficácia1
  • Mais espaço para desbridamento e remoção de detritos1
  • Respeito à anatomia natural do dente
  • Preservação da estrutura do dente

Neste acervo de testemunhos, os dentistas estão compartilhando suas experiências com TruNatomy. De casos simples2 a casos complexos3, TruNatomy é uma solução que acompanha os dentistas em sua prática clínica diária.


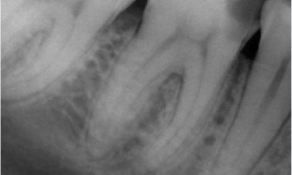
Um caso complexo com raízes longas e um sistema calcificado com um acompanhamento após 14 meses

"Um sucesso centrado no paciente e no processo." - Dr. Cowie

Antes: Radioluscência periapical associada principalmente à raiz distal e perda da lâmina dura na raiz mesial.

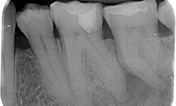
Depois: TruNatomy foi escolhido neste caso para permitir uma abordagem alavancada da cárie dental e um foco na preservação da dentina pericervical, especialmente no aspecto mesial, onde o dente teve uma restauração mais mínima.

Dr. Jonathan Cowie (especialista em endodontia)

Bath, Reino Unido


Uma abordagem restaurativa para a endodontia

"Escolhi a TruNatomy para poder preservar o máximo de dentina possível para superar a carga oclusal e aumentar a longevidade do dente." - Dr. Abuelezz

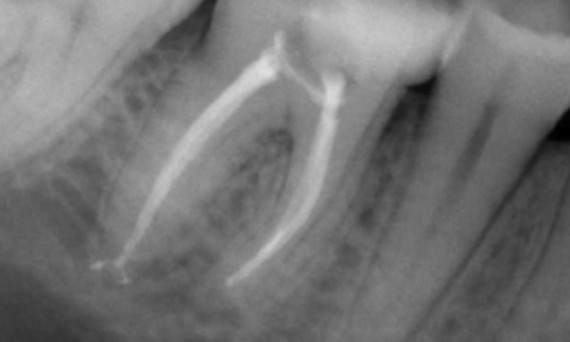
Antes: No exame, havia uma lesão de cárie dental relacionada ao primeiro molar inferior direito. O exame radiográfico revelou proximidade da lesão ao corno pulpar e, combinando-a com a queixa principal, concluiu-se um diagnóstico final de pulpite crônica irreversível.

Depois: A cavidade de acesso foi realizada da maneira mais conservadora possível. TruNatomy foi o sistema de escolha devido à idade do paciente jovem. Precisávamos preservar a dentina o máximo possível para aumentar a capacidade do dente de superar a carga oclusal e aumentar a longevidade da restauração final.

Dr. Ahmed Hussein Abuelezz (PhD em Endodontia)

Cairo, Egito


Fale conosco

Saiba mais sobre nossos produtos e soluções para endodontia.

1 Comparado a ProTaper Next

2 Dr. Filippo Santarcangelo (S. 8 - PDF de casos clínicos e testemunhos)

3 Dr. Jonathan Cowie (S. 12 - PDF de casos clínicos e testemunhos)