Entdecken Sie, wie 3D-Druck-Technologie Ihre Arbeit vereinfachen, beschleunigen und bereichern kann. Anhand von klinischen Fällen demonstrieren Ihre Kollegen den Mehrwert von Primeprint im Praxis- und Laboralltag. Als Zahnarzt werden Sie Folgendes feststellen: Ihre Patienten sind beeindruckt von der modernen Technologie und schätzen das Erlebnis der Zahnmedizin auf hohem Niveau. Und: Zahntechniker, die 3D-Drucktechnik einsetzen, können ihren Praxispartnern zusätzlich signalisieren, dass ihr Fokus im Labor auf digitalen Fertigungstechniken liegt.

3D-gedruckte Bohrschablone zur Implantatinsertion

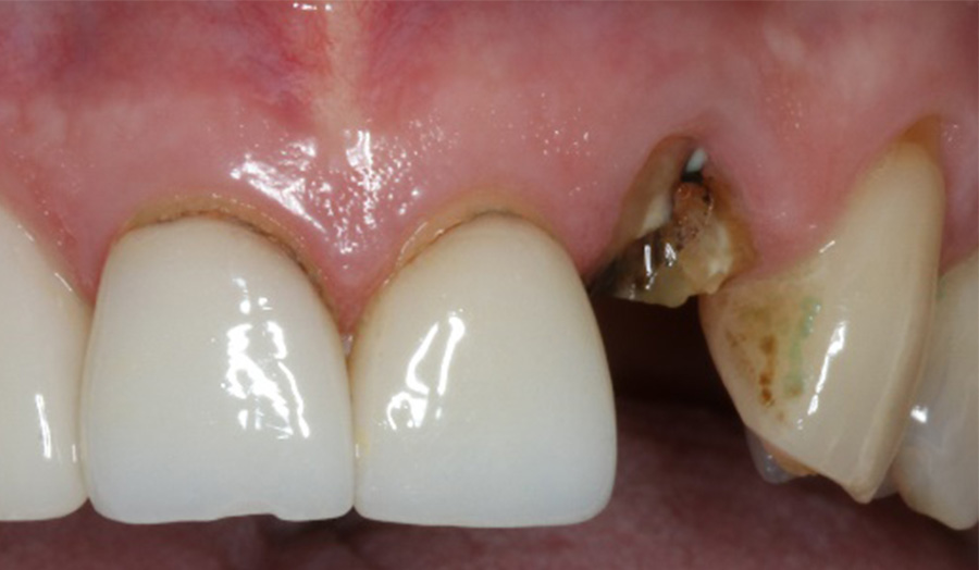
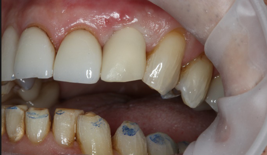
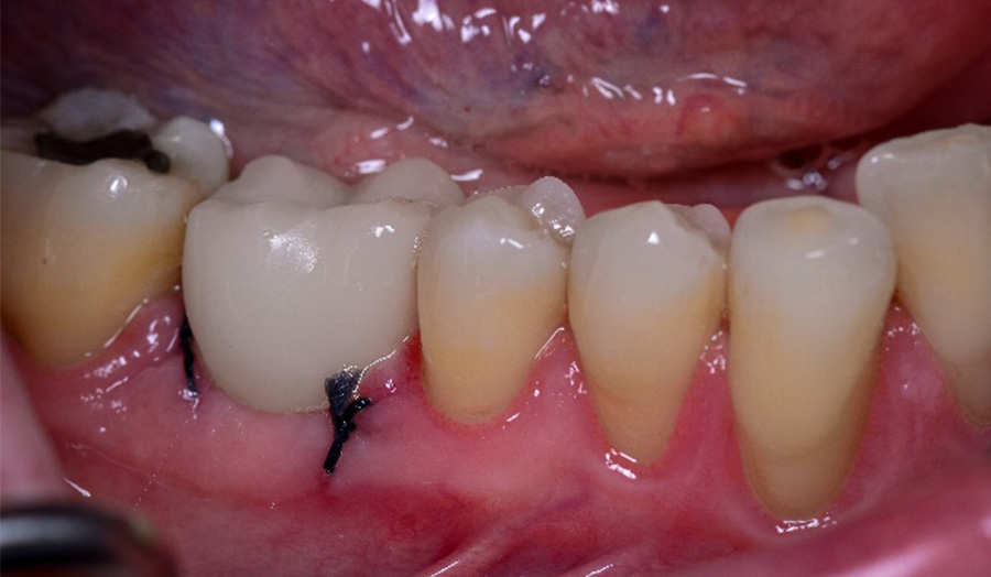
Ein 62-jähriger Mann stellte sich in meiner Praxis mit einem frakturierten, nicht erhaltungswürdigen Zahn 22 vor. Wir planten ein Einzelimplantat mit einer Bohrschablone und eine provisorische Brücke, die beide mit Primeprint hergestellt wurden. Der Eingriff war in 20 Minuten abgeschlossen, und wir brauchten 10 Minuten, um die provisorische Brücke zu verkleben.

Vorher: Ausgangssituation mit frakturiertem, nicht erhaltungswürdigen Zahn Nr. 22

Anwendung: 3D-gedruckte Bohrschablone mit Primeprint Guide Material mit hervorragender Passung

Nachher: Einsetzen der 3D-gedruckten Maryland-Brücke mit Primeprint Temp Material zur provisorischen Versorgung

Dr. Dan Butterman

Centennial, USA

3D-gedrucktes Arbeitsmodell mit herausnehmbaren Stümpfen zur Frontzahnerneuerung

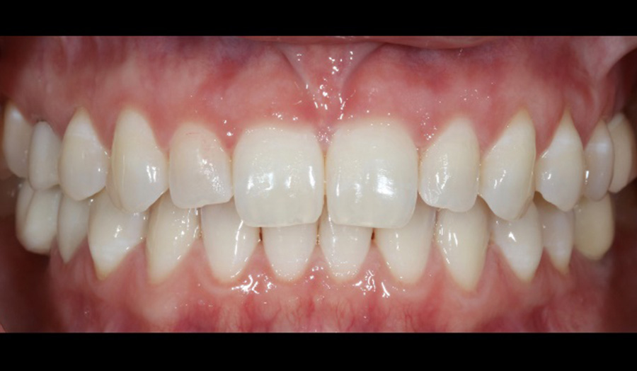
Eine 47-jährige Frau stellte sich in meiner Praxis vor, weil sie Bedenken wegen sechs Frontzahnkronen aus Zirkonoxid hatte, die kürzlich in einer anderen Praxis angefertigt worden waren. Die Effizienz und Benutzerfreundlichkeit von Primeprint Solution ermöglicht es mir, Modelle noch am Tag der Behandlung zu drucken und dem Patienten vor der endgültigen Herstellung mit CEREC Primemill eine Vorschau der Behandlung zu präsentieren.

Vorher: Orale Ausgangssituation mit auffälliger Asymmetrie der Lippen beim Lächeln

Anwendung: 3D-gedrucktes Arbeitsmodell mit herausnehmbaren Stümpfen aus Primeprint Model Material

Nachher: Finale Restauration 

Dr. Mike Skramstad

Orono, USA

3D-gedruckte Schiene gegen nächtlichen Bruxismus

Ein 34-jähriger Mann stellte sich in meiner Praxis mit Symptomen von nächtlichem Bruxismus vor und äußerte Muskelschmerzen und Muskelkater. Wir beschlossen, den Patienten mit einer herausnehmbaren Schiene zu versorgen, um weitere Abrasionen zu verhindern.

Vorher: Orale Ausgangssituation mit Symptomen von

nächtlichem Bruxismus

Anwendung: Finalisierung der Schiene in der inLab Software

Nachher: Herausnehmbare, 3D-gedruckte Schiene aus Primeprint Splint Material

Dr. Meena Barsoum

Arlington Heights, USA

3D-gedruckte Bohrschablone für die Implantatsetzung mit 3D-gedruckter provisorischer Versorgung

Ein 58-jähriger Patient stellte sich mit einem fehlenden Zahn Nr. 46 in meiner Praxis vor. Um die natürliche Kaufunktion wiederherzustellen und gleichzeitig eine gesunde Zahnsubstanz zu erhalten, sollte die Lücke mit einem Implantat und einer Keramikkrone versorgt werden. Ich habe die Behandlung digital geplant und durchgeführt.

Vorher: Orale Ausgangssituation mit fehlendem Zahn

Anwendung: 3D-gedruckte Bohrschablone, hergestellt mit Primeprint Guide Material

Nachher: 3D-gedruckte temporäre Versorgung mit Primeprint Temp Material (erster Vergleich) und endgültige Versorgung (zweiter Vergleich)

Dr. Gerd Frahsek

Velbert, Deutschland

3D-gedruckter individueller Abformlöffel

Für eine 73-jährige Patientin mit geringem Restzahnbestand, die bisher eine Modellgussprothese trug, sollte eine hochästhetische, herausnehmbare Prothese ohne sichtbare Halteelemente angefertigt werden. Sie empfand die konventionellen Abformungen unangenehm und wollte darauf verzichten. Die Aufgabe bestand darin, die erforderlichen Abformungen auf ein Minimum zu reduzieren. 

Vorher: Ausgangssituation eines digitalen Modells des Unterkiefers der Patientin

Anwendung: 3D-gedruckter Abformlöffel auf einem 3D-gedruckten Modell, hergestellt mit Primeprint Tray und Primeprint Model Material

Christian Schuchmann

Darmstadt, Deutschland

Kontaktieren Sie uns

Erfahren Sie mehr über die Primeprint Solution von Dentsply Sirona.