Learn more about the Dentsply Sirona Windows 11 Security Package to continue ensuring security and compatibility of your Dentsply Sirona devices.
DS World UK 2026 - Unlock Early Bird discounts by saving your seat | Learn more
Implant Solutions World Summit 2026 Register now
Categories
Experience the future of connected dentistry: Each event showcases industry-leading education, cutting-edge advancements, renowned thought-leaders and unrivalled networking opportunities.
Our sustainability strategy is fundamental to our mission and is integral to everything we do.
Primeprint Collection
Discover how 3D printing technology can simplify, accelerate, and delight your work. Using clinical cases, colleagues of yours demonstrate the added value of Primeprint in everyday practice and laboratory tasks. As a dentist, you will notice: Your patients are impressed by the modern technology and appreciate the experience of dentistry at a high level. And: dental technicians who use 3D printing technology can additionally indicate to their practice partners that their focus in the lab is on digital manufacturing.
A 62-year-old male presented himself to my practice with a fractured non-restorable tooth #10. We planned a single implant with a surgical guide and a temporary bridge, both manufactured with Primeprint. The surgery was completed in 20 minutes, and it took us 10 minutes to bond the temporary bridge.
Before: Initial situation with a fractured non-restorable tooth #10
Usage: Placing the 3D-printed surgical guide with Primeprint Guide material with excellent fit
After: Placing the 3D-printed One-wing-Maryland Bridge with Primeprint Temp material as a temporary restoration
Centennial, USA
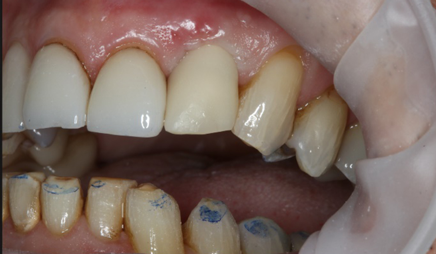
A 47-year-old female presented to my office with concerns about six anterior zirconia crowns recently done at another office. The efficiency and ease of use of the Primeprint Solution allows me to quickly print models on the same day of treatment which enables me to present a preview of treatment to patient before the final production with CEREC Primemill.
Before: Initial oral situation with significant asymmetry of the lips when smiling
Usage: 3D-printed model with ditched dies manufactured with Primeprint Model material
After: Final restoration
Orono, USA
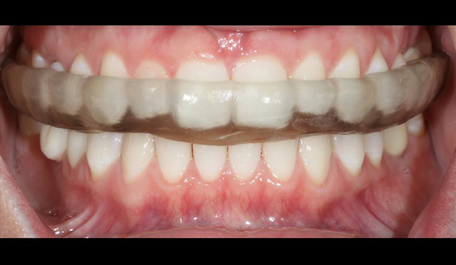
A 34-year-old male presented himself to my practice, with symptoms of nocturnal bruxism and expressed experiencing muscle pain and soreness. We decided that wearing a removable mouth guard at night would minimize wear on his dentition.
Before: Initial oral situation with symptoms of
nocturnal bruxism
Usage: Finalizing the object to be printed
After: Detachable 3D-printed splint manufactured with Primeprint Splint material
Arlington Heights, USA
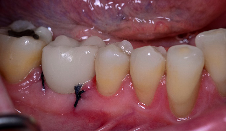
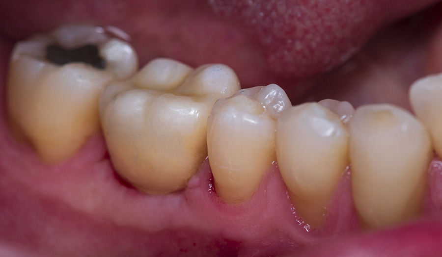
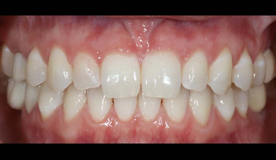
A 58-year-old male patient presented himself to my practice with a missing tooth #30 to restore the natural chewing function while preserving healthy tooth structure. The gap was to be restored with an implant and a ceramic crown. I planned and implemented the treatment digitally.
Before: Initial oral situation of missing tooth
Usage: 3D-printed surgical guide manufactured with Primeprint Guide material
After: 3D-printed temporary restoration with Primeprint Temp material (first comparison) and final restoration (second comparison)
Velbert, Germany
A highly esthetic, removable denture without visible retaining elements was to be made for a 73-year-old female patient with few remaining teeth who previously wore a cast model denture. She felt unhappy with conventional impressions so far and wanted to avoid them. The task was to reduce the impressions required to a minimum.
Before: Initial situation of a digital model of the patient’s mandible
Usage: 3D-printed impression tray on a 3D-printed model, manufactured with Primeprint Tray and Primeprint Model material
Darmstadt, Germany
Find out more about the Primeprint Solution from Dentsply Sirona.