This collection showcases various clinical cases that demonstrate the wide range of indications applicable for CEREC Tessera – from single-visit chair-side restorations to highly aesthetic challenges and comprehensive oral rehabilitations including labside-fabricated restorations.
Be inspired and experience how this smart technology can support your work to make the treatment experience for you and your patients better, safer and faster.


Amelogenesis Imperfecta

Full mouth rehabilitation with 28 all-ceramic restorations

A particular and protracted case of skeletal Class II malocclusion and generalised amelogenesis imperfecta in a teenager was referred for prosthetic rehabilitation. The aim of the treatment was to prepare the remaining tooth structure, remove undercuts, and make room for all-ceramic crowns covering the entire dentine and simulating the lost enamel.

Before: Initial situation prior to orthodontic treatment.

After: Final result, 1 week post-operative.

Alexander Declerck, (DDS, MSc)

Sint-Martens-Latem, Belgium


Minimal Preparation Veneers after Trauma of Upper Central Incisors

Restoration with a highly aesthetic material in one day after trauma to the maxillary central incisors.

Before: Clinical Situation pre-op. Trauma of upper central incisors

After: Adhesively bonded restorations.

Dr. Mohamed Hassanien

Cairo, Egypt


Aesthetic Rehabilitation of Amelogenisis Imperfecta

CEREC Tessera

An aesthetic rehabilitation in the anterior region could be realised with labside CEREC Tessera restorations veneered with Celtra Ceram. 

Before: The treatment objective was to rehabilitate the anterior maxilla and mandible for aesthetic improvement. The clinical diagnosis revealed ameloenesis imperfecta.

After: Labside- fabricated restoration made from advanced lithium-disilicate ceramic CEREC Tessera and for the high aesthetic result, the veneering with Celtra Ceram.

Sabine Mayer (CDT)

Koblenz, Germany

Mario Pace (CDT)

Lahnstein, Germany


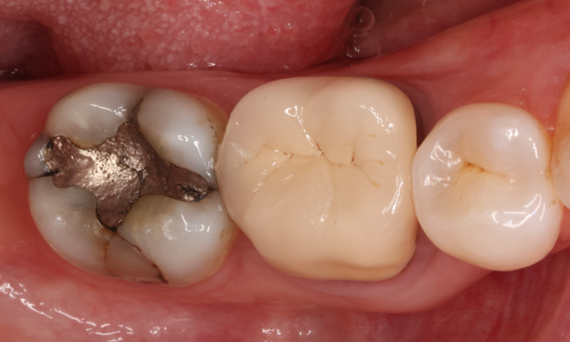
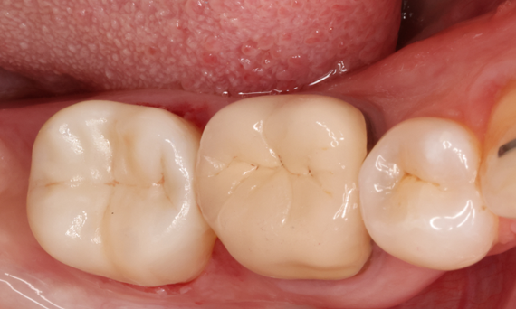
Second lower right molar in 90 minutes

A CEREC Tessera onlay

A 20-year-old female patient had endodontic treatment of her lower right 2nd molar. A chairside onlay was fabricated from the new high-strength ceramic CEREC Tessera ALD.

Before: Pre-operative clinical scenario after endodontic therapy.

After: 1 month after the CEREC Tessera onlay was bonded.

Dr. Aniruddha Nene

Pune, India


Amelogenesis Imperfecta

Full mouth rehabilitation with 28 all-ceramic restorations

A particular and protracted case of skeletal Class II malocclusion and generalised amelogenesis imperfecta in a teenager was referred for prosthetic rehabilitation. The aim of the treatment was to prepare the remaining tooth structure, remove undercuts, and make room for all-ceramic crowns covering the entire dentine and simulating the lost enamel.

Before: Initial situation prior to orthodontic treatment.

After: Final result, 1 week post-operative.

Alexander Declerck, (DDS, MSc)

Sint-Martens-Latem, Belgium


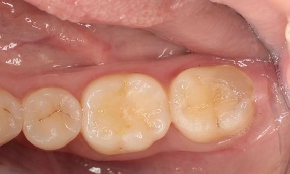
Lower second molar chairside restoration

A partial CEREC Tessera crown

A lower second molar with sensitivity presented with cracks as well as an extensive Class I composite restoration on the buccal surface. According to the minimally invasive concept a CAD/CAM partial crown was planned, fabricated and bonded using CEREC Tessera in a single visit.

Before: Failed amalgam restoration needing replacement. Patient complaining of sensitivity and tooth presenting multiple cracks.

After: Chairside CAD/CAM partial crown restoration fabricated with CEREC Tessera Advanced Lithium-Disilicate glass ceramic.

Dr. Carlos Eduardo Sabrosa

Rio de Janeiro, Brasil


First upper molar, in 100 minutes

A CEREC Tessera inlay

The chairside restoration in a single visit proved to be a particularly effective and comfortable solution for this patient, as her commute to the practice was 50 kilometres. A highly aesthetic inlay with CEREC Tessera could be realised.

Before: Fractured ceramic restoration made from a leucite-reinforced glass-ceramic after a clinical service time of 12 years.

After: Chairside-fabricated restoration made from an advanced lithium-disilicate ceramic CEREC Tessera.

Dr. Sven Rinke

Hanau, Germany


Quadrant rehabilitation

Two CEREC Tessera crowns and two inlays 

Within a single visit of four hours the restoration of two crowns and two inlays, which were 15 years old, was carried out. The patient was very pleased with the very good aesthetic result.

Before: Insufficient fillings in the second quadrant. The restorations were about 15 years old.

After: Chairside-fabricated crowns made from CEREC Tessera (teeth 26/27). Inlays for teeth 24 and 25 made of composite blocks.

Dr. Andreas Bindl

Zurich, Switzerland


First upper molar in 90 minutes 

A CEREC Tessera crown

The restoration of the first upper molar in a single visit was possible due to the efficient CEREC workflow with CEREC Primemill and CEREC SpeedFire. The patient was extremely positive about the short treatment time and the aesthetic result.

Before: First upper molar had been restored with an extensive yet insufficient composite filling that already showed visible fractures.

After: Chairside-fabricated restoration made from an advanced lithium disilicate ceramic, CEREC Tessera.

Dr. Shivi Gupta

San Diego, USA


Restoration of MIH teeth with CEREC Tessera

A CEREC Tessera crown

Initial situation of the patient:

The patient presented with increasing temperature sensitivity at her six-year molars. The anamnesis did not reveal any evidence of a drug-associated or disease-associated enamel malformation. The mother’s pregnancy was without complications. Clinical examination revealed extensive substance loss and hypomineralised enamel encompassing the entire clinical crowns of teeth 16 and 26. Furthermore, the left central incisor and both mandibular first molars were affected by hypomineralisations. Tooth 21 had no cavitation and showed no hypersensitivity. The lower first molars had small cavitations with hypersensitivity. Based on these findings diagnosis was molar-incisor-hypomineralisation (MIH). According to the MIH-Treatment-Need-Index [Bekes & Steffen 2016] teeth 16 and 26 were assigned to Score 4c requiring full crown coverage. Tooth 21 was assigned to Score 1 and was left as it was at the request of the mother and the patient herself. Teeth 36 and 46 were assigned Score 4b and were restored with direct composite restorations.

At this point, the maxillary molars were not yet fully erupted. Therefore, these teeth were initially restored with direct composite restorations to await complete tooth eruption. At the age of 11, tooth 16 and 26 had erupted completely allowing for full crown restorations.

Dr. Sebastian Soliman

Würzburg, Germany

Contact us

Find out more about our Restorative products and solutions.