Obtén más información sobre el paquete de seguridad de Windows 11 de Dentsply Sirona para no dejar de contar con la seguridad y compatibilidad de los dispositivos de Dentsply Sirona.
Paquete de seguridad de Windows 11 Saber más
Cumbre mundial de soluciones para implantes de 2026 Regístrate hoy
Nuestra estrategia de sostenibilidad se antoja fundamental para nuestros objetivos y es parte integral de todo lo que hacemos.
Obtén más información sobre el paquete de seguridad de Windows 11 de Dentsply Sirona para no dejar de contar con la seguridad y compatibilidad de los dispositivos de Dentsply Sirona.
Solución TruNatomy
TruNatomy es una solución de endodoncia integral que ofrece:
En esta colección de testimonios, los dentistas comparten sus experiencias con TruNatomy. Desde casos simples2 a complejos3, TruNatomy es una solución que acompaña a los dentistas en su práctica diaria.
"Un éxito centrado en el paciente y el proceso". - Dr. Cowie
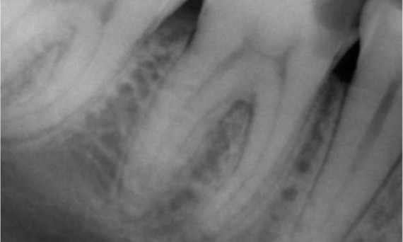
Antes: Radiotransparencia periapical asociada principalmente a la raíz distal y pérdida de la lámina dura en la raíz mesial.
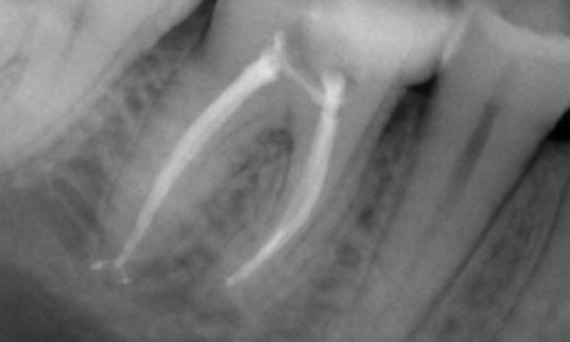
Después: Se eligió TruNatomy en este caso para permitir un mejor abordaje de la caries y enfocarse en la conservación de la dentina pericervical, especialmente en el aspecto mesial, donde el diente presentaba una restauración más menor.
Bath, Reino Unido
"Elegí TruNatomy para poder conservar la mayor cantidad posible de dentina con el fin de superar la carga oclusal y aumentar la longevidad del diente". - Dr. Abuelezz
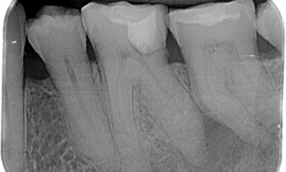
Antes: Durante la evaluación, se detectó una lesión de caries relacionada con el primer molar inferior derecho. El examen radiográfico reveló la proximidad de la lesión al cuerno pulpar, y al combinarla con la queja principal, se concluyó un diagnóstico final de pulpitis irreversible crónica.
Después: La cavidad de acceso se realizó de la forma más conservadora posible. TruNatomy fue el sistema de elección debido a la juventud del paciente. Necesitábamos conservar la mayor cantidad de dentina para aumentar la capacidad dental de superar la carga oclusal y aumentar la longevidad de la restauración final.
El Cairo, Egipto
Más información sobre nuestros productos y soluciones de endodoncia.
1 En comparación con ProTaper Next
2 Dr. Filippo Santarcangelo (S. 8 - Casos clínicos y testimonios PDF)
3 Dr. Jonathan Cowie (S. 12 - Casos clínicos y testimonios PDF)
© 2026 - Dentsply Sirona, Todos los derechos reservados