Raccolta di casi clinici di endodonzia

TruNatomy è una soluzione per endodonzia completa che offre:

  • Sensazione di fluidità durante la preparazione
  • Prestazioni ed efficacia migliorate1
  • Più spazio per lo sbrigliamento e la rimozione dei fango dentinale1
  • Rispetto dell’anatomia naturale dei denti
  • Conservazione della struttura dentale

In questa raccolta di testimonianze, i medici condividono le loro esperienze con TruNatomy. Dai casi semplici2 a quelli complessi 3, TruNatomy è una soluzione che accompagna i medici nella loro pratica quotidiana.


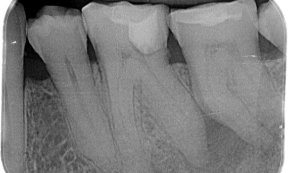
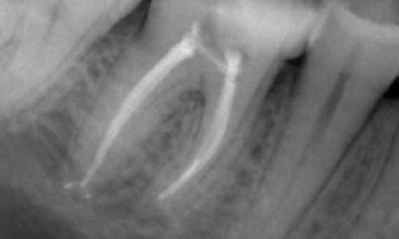
Un caso complesso con radici lunghe e sistema calcificato con un follow-up di 14 mesi

"Un successo incentrato sul paziente e sul processo." - Dott. Cowie

Prima: Radiolucenza periapicale associata principalmente alla radice distale e perdita della lamina dura sulla radice mesiale.

Dopo: TruNatomy è stata scelta in questo caso per consentire un approccio basato sulla carie e un’attenzione alla conservazione della dentina pericervicale, specialmente sull’aspetto mesiale in cui il dente aveva un restauro più minimo.

Dott. Jonathan Cowie (Specialista endodontista)

Bath, Regno Unito


Un approccio restaurativo all’endodonzia

"Ho scelto TruNatomy per poter preservare la maggior quantità possibile di dentina per superare il carico occlusale e aumentare la longevità del dente." - Dott. Abuelezz

Prima: All’esame è stata riscontrata una lesione da carie sul primo molare inferiore destro. L’esame radiografico ha rivelato la vicinanza della lesione al corno pulpare e, combinandola con il disturbo principale, si è giunti alla diagnosi finale di pulpite cronica irreversibile.

Dopo: La cavità di accesso è stata effettuata nel modo più conservativo possibile. TruNatomy è stato il sistema prescelto a causa dell’età del giovane paziente. Dovevamo preservare il più possibile la dentina per aumentare la capacità del dente di superare il carico occlusale e aumentare la longevità del restauro finale.

Dott. Ahmed Hussein Abuelezz (PHD in endodonzia)

Cairo, Egitto


Contattaci

Scopri di più sui nostri prodotti di endodonzia.

1 Rispetto a ProTaper Next

2 Dott. Filippo Santarcangelo (S. 8 - Casi clinici e testimonianze PDF)

3 Dott. Jonathan Cowie (S. 12 - Casi clinici e testimonianze PDF)