お問い合わせ

お客様の 診療を次のレベルへ。

お客様の診療所にイノベーションをもたらすさらなる方法が見つかります

メリット

Axeosを選ぶ理由

Ø 5cm x 5.5cm ~ Ø 17cm x 13cmの広い範囲での撮影が可能です。

豊富な撮影範囲設定により、日々の診療業務における柔軟性を保証します。正確な範囲を検査すること、そして顎関節を含む歯列全体を評価することも可能です。

インテリジェントロードーズおよびHD 機能

インテリジェントロードーズモードを使用すると、2DX線の放射線量で3D画像が取得できます。HDモードでは、センサーが1回転する中で個々の画像が取得され、高解像度かつ低ノイズの画像をボクセルサイズ80μmにて3D画像データに変換されます。

特徴的な2Dの機能 オートフォーカス付きのDCSセンサー 幅広いセファロ用プログラム

鮮明度の高い優れたパノラマイメージングを実現します。オプションで右、または左のセファロアームが選択可能で、後付けが可能です。

大規模な診療所および歯科医療支援システムへの統合

PACS、RIS、DICOM Worklist、そしてDICOM プリンターを介して接続します。DICOM規格に準拠したレントゲン画像が取得できます。

患者ポジショニング

イージーパッドと自動患者ポジショニング調整機能を活用することで、高画質、簡単な再現性、そして患者さんにとって快適な撮影条件を実現に貢献します。

一体型キャビネットとアンビエントライト

バイトブロックアクセサリーの保管、取り出しに便利なように一体型キャビネット内部にはライトがあり、オペレータのすぐ手の届くところに配置されています。

高さ調整機能

効率的なワークフローと待ち時間の短縮を実現します。高さ調整機能により、以前の来院時に保存された撮影高さ記録に基づき、個々の患者さんの身長に合わせて自動的に撮影高さを設定することができます。

3Dレントゲン装置の参考画像

信頼性の高い診断と放射線量のバランス

レントゲン画像をうまく撮影しようとすると、矛盾が常に生じます。最大限の画質を達成するために必要なことは何でも行いたいと考える一方で、患者さんのためには、放射線量は合理的に可能な限り低く抑える必要があるからです。デンツプライシロナでは、安全に配慮し、かつ倫理的な面からも診療をサポートしながら優れた画質を保証する製品を提供することに注力しています。製品開発の際は、国際的に認められたALARAの原則「as low as reasonable achievable(合理的に達成可能な範囲でできる限り低く)」に従います。

インテリジェントロードーズ
専用フィルターで最適化された低線量モードにより、大幅に低減された線量で骨などの密な構造の画像診断が可能になります。そのため、インテリジェントロードーズ機能は多くの臨床現場において有用で効率的な機能となります。歯列矯正でもインプラントでも、弊社のソリューションを使用することで、それぞれのケースでの最適な設定が可能です。

  • 適応症に基づく低線量でのCT撮影は、さまざまな臨床状況に適しています
  • 専用フィルターは、従来の低線量アプローチと異なります。弊社のインテリジェントロードーズ機能は、電流を下げるだけでなく専用の銅フィルターも採用しています。これにより、低線量にも関わらず、骨などの密な構造を高画質で確認が可能です。
  • CT撮影において低線量モードを使用すると、被ばく線量を最小限に抑え、パノラマ撮影の際と同等の線量でCT画像が得られます。

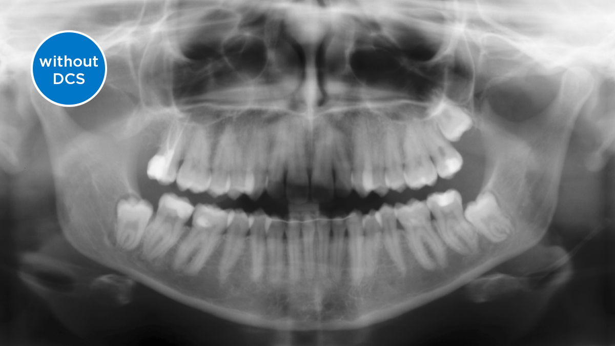
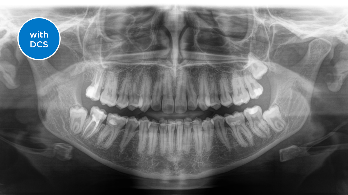
ダイレクト コンバージョン センサー(DCS) 画像診断を次のステージへ

ダイレクト コンバージョン センサー(DCS)によりパノラマ撮影品質を次のステージへ レントゲン画像は直接電気信号に変換されます。そのため、従来のシステムの場合のように、光信号への変換によるデータロスがなく、その結果、低い放射線量でも、非常に鮮明さと高いコントラストを備えた画像が得られます。適切な治療を支援するための正確な診断が可能になります。

サンプル画像は、DCSテクノロジーを使用していない場合と使用した場合のパノラマ画像です。矢印を使用してコントロールを画像上でドラッグすると、DCSセンサーが画質の質と診断の可能性に与える違いを確認できます。

オートフォーカスなしの場合

画像の一部のみに焦点が合っており、他の領域は焦点がぼやけています。

オートフォーカスありの場合

このシステムは、1サイクルで数千枚の個別画像から関連領域を検出し、顎が最適な位置にある領域を自動的に特定します。

最終的な画像の例

シャープな画像が得られます。

先進的なデザイン

セファロ画像のギャラリー

FAQ

画像処理ソフトウェアSIDEXIS 4およびAxeosの要件に従います。詳細については、Sidexis 4 のシステム要件とAxeosのインストール要件をご参照ください。

デンツプライシロナ 3D機は、Sidexis 4でのみ動作します。しかし、Sidexis XGからSidexis 4へのデータの移行は非常に容易です。Sidexis 4を使うと、最新ツールを使用した完全なデジタル体験が可能になります。

Orthophos S 2Dは3D機へのアップグレードが可能です。Axeosは2Dのみのモデルはありません。オーソフォスEでは、3Dへのアップグレードオプションはありません。

お問い合わせ

デンツプライシロナが提供するレントゲンソリューションの詳細や、デンタルレントゲン、ソフトウェア、2Dおよび3D画像処理技術に関する資料請求はこちらから。