下記よりお問い合わせください。
担当者が順次折り返しご連絡いたします。
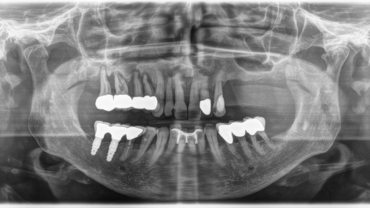
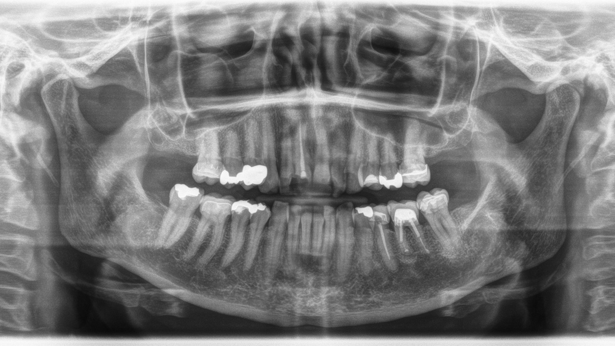
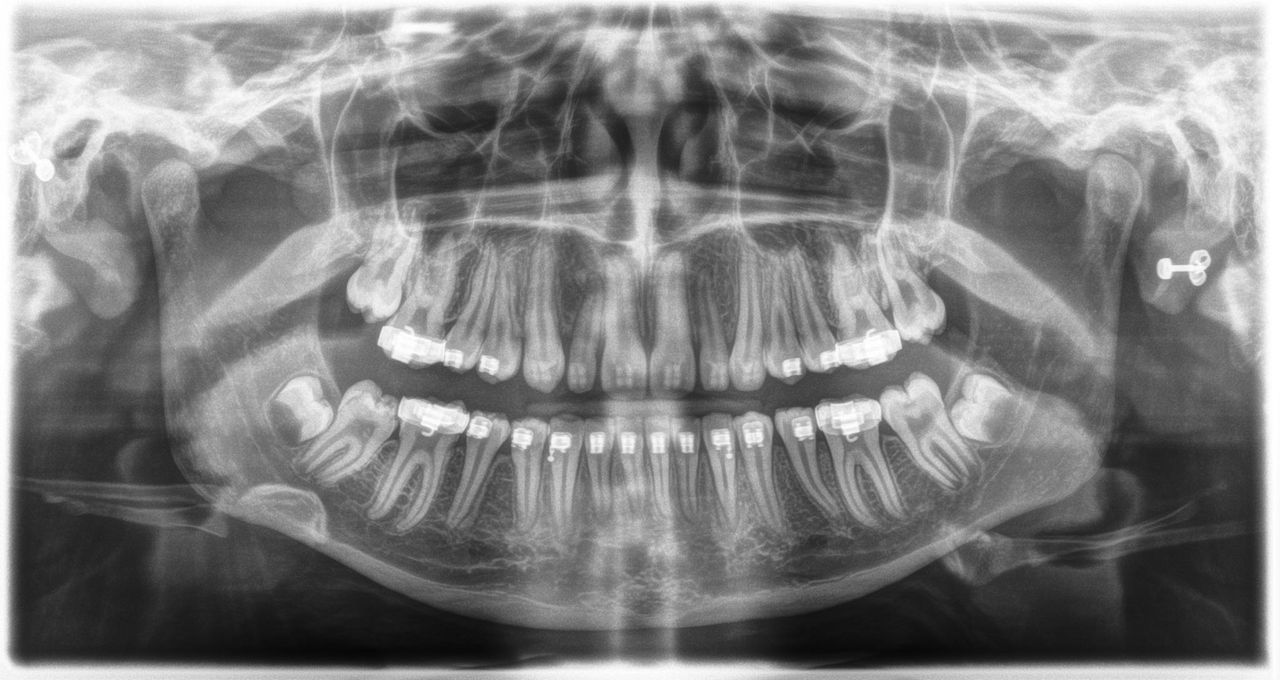
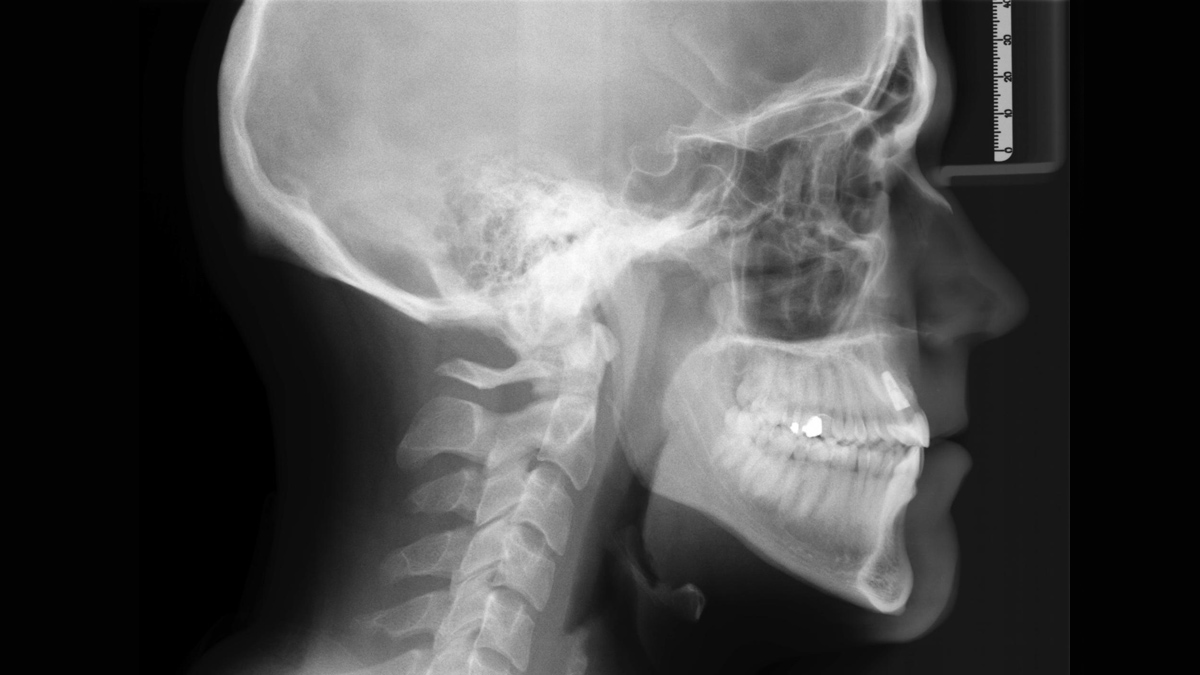
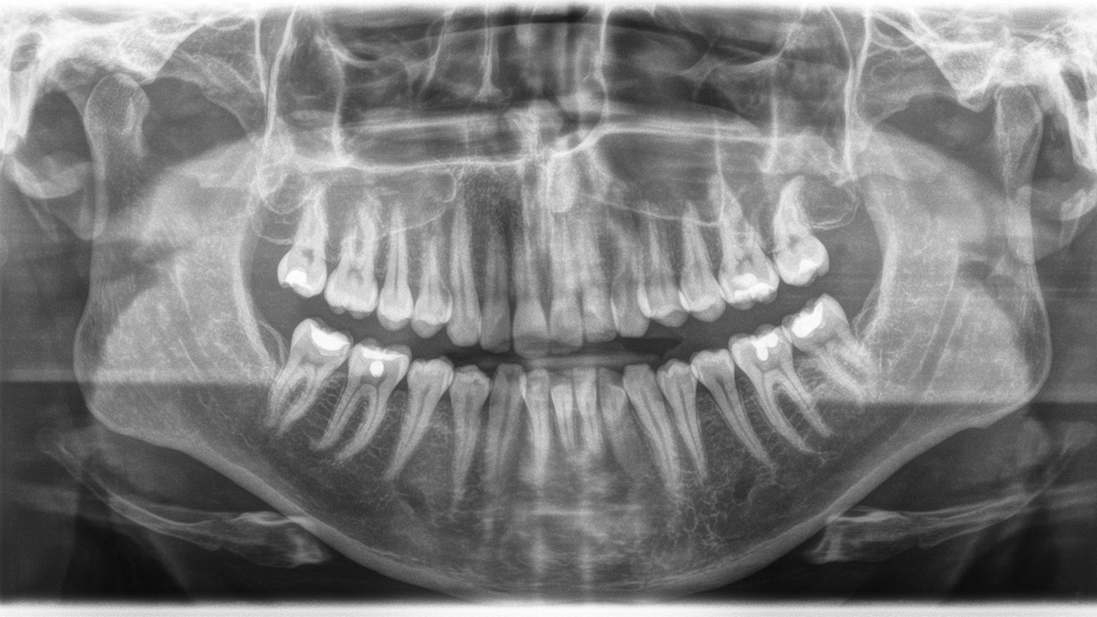
優れた2D X線撮影ユニットが、デジタルイメージングの世界へのスムーズな参入を可能にします。CsIセンサー技術と直感的な操作インターフェースにより、常に信頼性の高い診断が可能です。また、セファロオプションによって、オーソフォスEを歯科矯正においても信頼のおけるパートナーとしてご使用いただけます。デジタルイメージングのみで実現できる様々なサービスで、充実した診療を実現します。
利点
高性能2D CsIセンサーと信頼性の高い画質により実現
電動式のこめかみ・額サポート、自動こめかみ幅測定、レーザー位置決め機能、安定した位置決めを実現する内蔵ハンドルを搭載
2Dでの基本診断に最適
矯正歯科における最適な診断サポートのため、左側セファロアームはいつでも注文または後付け可能です
マルチパッド操作パネル搭載
オルソフォスEは、鮮明層での理想的な位置決めを容易にする2つの統合型ライトローカライザーを搭載しています。電動式の額・こめかみサポートが患者の頭部を優しく固定し、体動によるブレを防ぐ追加サポートを提供します。
詳細については、SIDEXIS 4のシステム要件をご参照ください。
デンツプライシロナのX線撮影装置は、SIDEXIS 4のみと互換性があります。しかし、Sidexis XGからSidexis 4へのデータの移行は非常に容易です。Sidexis 4は、最新ツールを使用したフルデジタルワークフローを可能にします