このコレクションでは、CEREC Tesseraaの幅広い適応症を示すさまざまな臨床症例を紹介しています。症例は、チェアサイドでの1回来院の修復から、高度な審美性の課題、ラボサイド製作の修復物を含む包括的な口腔修復にまで至ります。
このスマートな技術が、お客様と患者さんの治療体験をより良く、より安全に、より迅速なものにするために、お客様の仕事をどのようにサポートできるか、インスピレーションを受け、体験してください。


エナメル質形成不全症

28本のオールセラミック修復物による全口腔リハビリテーション

十代の若者における骨格性クラス II 不正咬合、および全般的なエナメル質形成不全症の特殊かつ長期にわたる症例が、補綴リハビリテーションのために紹介されました。治療の目的は、残っている歯の構造を整え、アンダーカットを除去し、象牙質全体を覆い、失われたエナメル質を模倣するオールセラミッククラウンのためのスペースを確保することでした。

前:矯正治療前の初期状況。

後:手術後1週間の最終結果。

Alexander Declerck氏、(DDS, MSc)

シント・マルテンス・ラーテム、ベルギー


上顎中切歯の外傷後の最小限の準備によるベニア

上顎中切歯の外傷後、審美性に優れた材料を使用して1日で修復しました。

前:手術前の臨床状況。上顎中切歯の外傷

後:接着結合修復物。

Mohamed Hassanien博士

カイロ、エジプト


遺伝性エナメル質形成不全症の美容的リハビリテーション

CEREC Tessera

前歯領域の審美的なリハビリテーションは、ラボサイドのCEREC Tessera修復物をCeltraクリームでベニア加工することで実現できます。 

前: 治療の目的は、審美性の向上のために上顎前部と下顎前部の修復を行うことでした。臨床診断により、遺伝性エナメル質形成不全症と判明しました。

後: アドバンスドリチウム二ケイ酸塩セラミック CEREC Tesseraからラボサイドで製作された修復物に、高い審美性を得るためにCeltraクリームでベニア加工を施しました。

Sabine Mayer氏 (CDT)

コブレンツ、ドイツ

Mario Pace氏(CDT)

ラーンシュタイン、ドイツ


右側下顎第二大臼歯、90分の治療

CEREC Tessera アンレー

20歳の女性患者が、右側下顎第二大臼歯の歯内療法を受けました。新しい高強度セラミックCEREC Tessera ALDを用いて、チェアサイドアンレーが製造されました。

前:歯内療法後の手術前臨床シナリオ。

後: CEREC Tesseraアンレーが接着されてから1か月後。

Aniruddha Nene博士

プネ、インド


エナメル質形成不全症

28本のオールセラミック修復物による全口腔リハビリテーション

十代の若者における骨格性クラス II 不正咬合、および全般的なエナメル質形成不全症の特殊かつ長期にわたる症例が、補綴リハビリテーションのために紹介されました。治療の目的は、残っている歯の構造を整え、アンダーカットを除去し、象牙質全体を覆い、失われたエナメル質を模倣するオールセラミッククラウンのためのスペースを確保することでした。

前:矯正治療前の初期状況。

後:手術後1週間の最終結果。

Alexander Declerck氏、(DDS, MSc)

シント・マルテンス・ラーテム、ベルギー


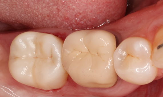
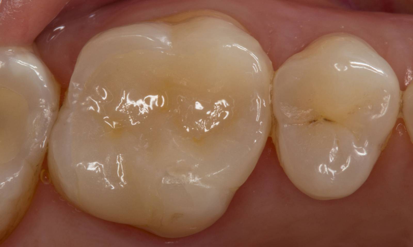
下顎第二大臼歯のチェアサイド修復

部分的なCEREC Tesseraクラウン

知覚過敏のある下顎第二大臼歯に亀裂が見られ、頬側面に広範囲にわたるクラス I コンポジット修復が施されていました。最小侵襲コンセプトに従い、1回の診察で、CEREC Tesseraを使用してCAD/CAM 部分クラウンが計画、製作、接着されました。

前:アマルガム修復が失敗し、交換が必要。患者さんは歯の敏感さと複数の亀裂を訴えています。

後:CEREC Tessera アドバンスドリチウム二ケイ酸 ガラスセラミックを使用して製作されたチェアサイド CAD/CAM 部分クラウン修復。

Carlos Eduardo Sabrosa博士

リオデジャネイロ、ブラジル


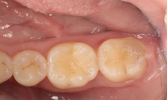
上顎第一大臼歯、100分

CEREC Tessera インレー

通院距離が50キロメートルのこの患者さんにとって、1回の診察でチェアサイド修復を行うことは、特に効果的で快適な解決策であることが証明されました。CEREC Tesseraによる審美性の高いインレーを実現することができました。

前:12年間の臨床使用期間を経て、リューサイト強化ガラスセラミックから作られた破損したセラミック修復物。

後:アドバンスドリチウム二ケイ酸塩セラミック CEREC Tesseraから作られた、チェアサイドで製作される修復物。

Sven Rinke博士

ハーナウ、ドイツ


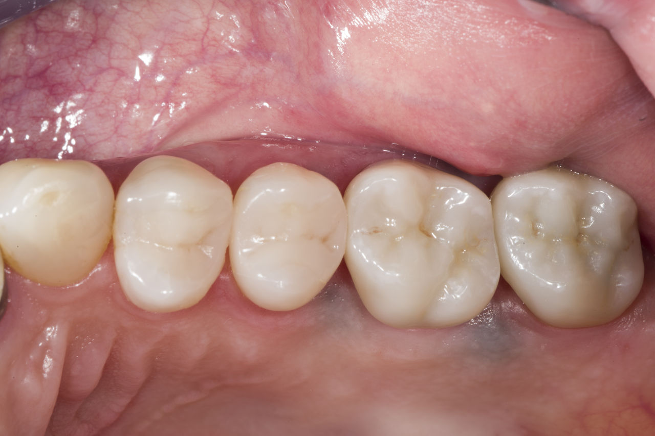
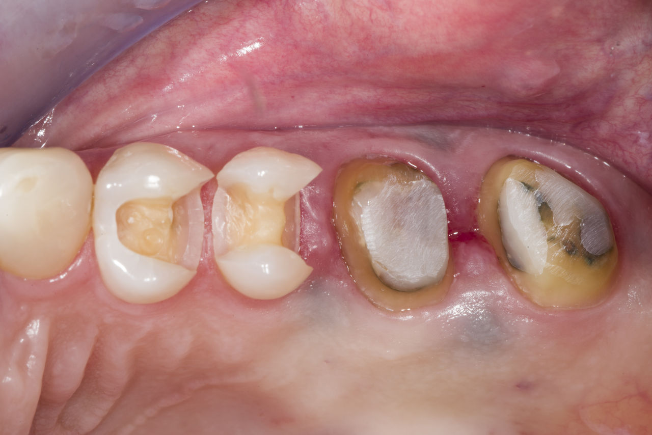
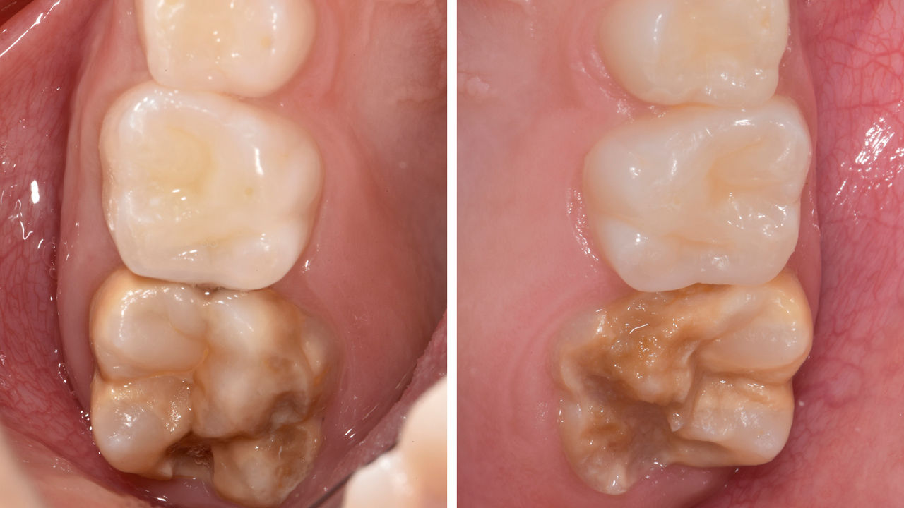
クアドラントリハビリテーション

CEREC Tessera クラウン2つとインレー2つ 

たった4時間の訪問1回で、15年前の2つのクラウンと2つのインレーの修復が行われました。患者さんは、非常に優れた審美性に大変満足されました。

前:セカンドクアドラントの不十分な充填材。修復は約15年前のものでした。

後:CEREC Tesseraから作られたチェアサイド製作のクラウン (歯 26/27番)。コンポジットブロックで作られた24番と25番の歯のためのインレー。

Andreas Bindl博士

チューリッヒ、スイス


上顎第一大臼歯、90分 

CEREC Tesseraクラウン

CEREC PrimemillとCEREC SpeedFireを使用した効率的なCEREC ワークフローにより、1回の診察で上顎第一大臼歯の修復が可能でした。患者さんは治療時間が短く済んだこと、そして高い審美性に大変満足されていました。

前:上顎第一大臼歯は、広範囲ではあるものの不十分なコンポジット充填材で修復されており、すでに目に見える破損が見られました。

後:アドバンスド二ケイ酸リチウムセラミック、CEREC Tesseraから作られた、チェアサイドで製作される修復物。

Shivi Gupta博士

サンディエゴ、アメリカ


CEREC TesseraによるMIH歯の修復

CEREC Tesseraクラウン

患者さんの初期状況:

患者さんには、6歳臼歯の温度に対する過敏性が増しているという症状がありました。病歴聴取では、薬剤関連または疾患関連のエナメル質奇形の証拠は見つかりませんでした。母親の妊娠には、合併症はありませんでした。臨床検査の結果、16番と26番の臨床クラウン全体にわたって広範囲にわたる物質喪失とエナメル質の低ミネラル化が明らかになりました。さらに、左側の中切歯と下顎第一大臼歯の両方が低石灰化の影響を受けていました。21番の歯には空洞はなく、知覚過敏も見られませんでした。下顎第一大臼歯には小さな空洞があり、知覚過敏が見られました。これらの所見に基づいて下された診断が、MIH(臼歯切歯低石灰化)です。MIH-Treatment-Need-Index [Bekes & Steffen 2016]によると、16番と26番の歯はスコア4cに割り当てられ、完全なクラウンカバーが必要でした。21番の歯はスコア1に割り当てられ、母親と患者さん自身の要望によりそのまま残されました。36番と46番の歯にはスコア4bが割り当てられ、直接コンポジット修復で修復されました。

この時点では、上顎の臼歯はまだ完全には生えてきていませんでした。そのためこれらの歯は、完全な歯の萌出を待つために、当初は直接コンポジット修復物で修復されました。11歳のとき、16番と26番の歯が完全に生えてきて、完全なクラウン修復が可能になりました。

Sebastian Soliman博士

ヴュルツブルク、ドイツ

お問い合わせ

当社の修復製品およびソリューションの詳細をご覧ください。