Descubra de que forma a tecnologia de impressão 3D pode simplificar, acelerar e tornar o seu trabalho maravilhoso. Utilizando casos clínicos, os seus colegas demonstram o valor acrescentado do Primeprint na prática diária e nas tarefas laboratoriais. Como dentista, irá reparar que: Os seus pacientes ficam impressionados com a tecnologia moderna e apreciam a experiência da medicina dentária a um nível elevado. Além disso: os técnicos de medicina dentária que utilizam a tecnologia de impressão 3D podem ainda indicar aos seus parceiros de clínica que o seu foco no laboratório é o fabrico digital.

Guia de impressão 3D para implantologia

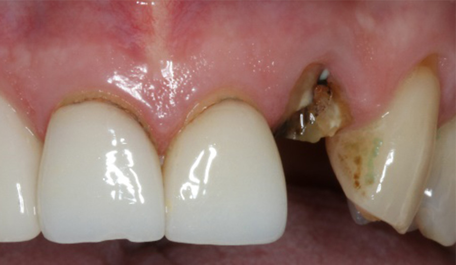
Um homem de 62 anos de idade apresentou-se na minha clínica com um dente n.º 10 fraturado não recuperável. Planeámos um único implante com uma guia cirúrgica e uma ponte temporária, ambos fabricados com Primeprint. A cirurgia foi concluída em 20 minutos e demorámos 10 minutos a ligar a ponte temporária.

Antes: Situação inicial com um dente n.º 10 não recuperável fraturado

Utilização: Colocação da guia cirúrgica com impressão 3D com material Primeprint Guide com excelente ajuste

Depois: Colocar a Ponte de Asa Única de Maryland com material Primeprint Temp impressa em 3D como uma restauração temporária

Dr. Dan Butterman

Centennial, EUA

Modelo impresso em 3D com matrizes escavadas para renovação do dente anterior

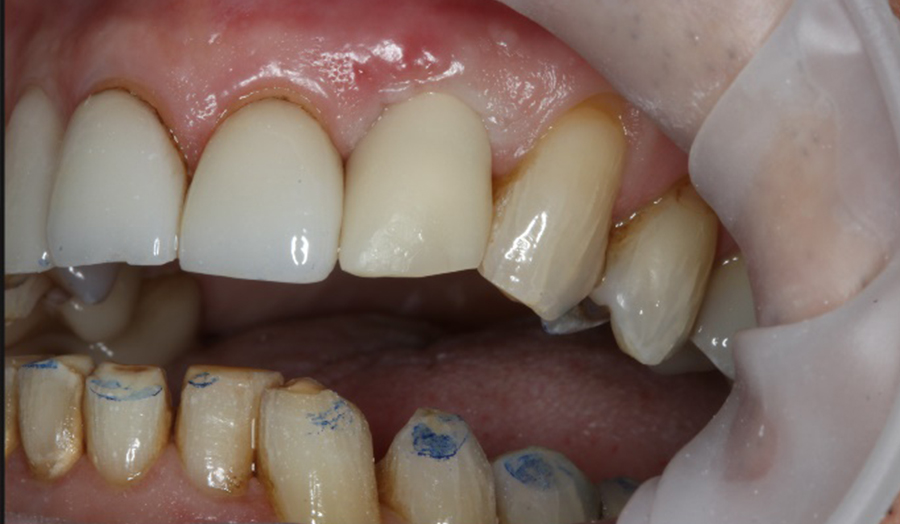
Uma mulher de 47 anos apresentou-se no meu consultório com preocupações sobre seis coroas de zircónio anteriores recentemente feitas noutro consultório. A eficiência e facilidade de utilização da solução Primeprint™ permitem-me imprimir rapidamente modelos no mesmo dia de tratamento, o que me permite apresentar uma pré-visualização do tratamento ao doente antes da produção final com o CEREC Primemill.

Antes: Situação oral inicial com assimetria significativa dos lábios ao sorrir

Utilização: Modelo com impressão 3D com matrizes valadas fabricadas com material Primeprint Model

Depois: Restauração definitiva 

Dr. Mike Skramstad

Orono, EUA

Modelo impresso em 3D tala contra bruxismo noturno

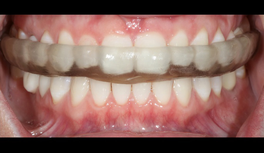
Um homem de 34 anos apresentou-se na minha clínica, com sintomas de bruxismo noturno e manifestou dor muscular e desconforto. Decidimos que usar um protetor bucal amovível à noite minimizaria o desgaste da sua dentição.

Antes: Situação oral inicial com sintomas de

bruxismo noturno

Utilização: Finalizar o objeto a imprimir

Depois: Tala destacável com impressão 3D fabricada com material de tala Primeprint

Dr. Meena Barsoum

Arlington Heights, EUA

Modelo impresso em 3D guia cirúrgica para implantologia e restauração temporária com impressão 3D

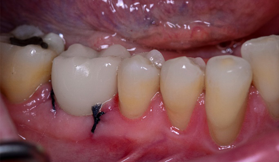
Um paciente do sexo masculino, de 58 anos de idade, apresentou-se na minha clínica com um dente n.º 30 em falta para restaurar a função natural de mastigação, preservando a estrutura saudável do dente. A falha deveria ser restaurada com um implante e uma coroa cerâmica. Planeei e implementei o tratamento digitalmente.

Antes: Situação oral inicial de dente em falta

Utilização: Guia cirúrgica com impressão 3D fabricada com material Primeprint Guide

Depois: Restauração temporária com impressão 3D com material Primeprint Temp (primeira comparação) e restauração final (segunda comparação)

Dr. Gerd Frahsek

Velbert, Alemanha

Modelo impresso em 3D moldeiras individuais

Precisava de ser feita uma prótese dentária amovível altamente estética sem elementos de retenção visíveis para uma paciente do sexo feminino, de 73 anos de idade, com poucos dentes restantes que anteriormente usava uma prótese com feita com molde. Até agora tinha-se sentido insatisfeita com as impressões convencionais e queria evitá-las. A tarefa era reduzir ao mínimo as impressões necessárias. 

Antes: Situação inicial de um modelo digital da mandíbula da paciente

Utilização: Moldeira 3-D com impressão num modelo 3D, fabricado com Primeprint Tray e material Primeprint Model

Christian Schuchmann

Darmstadt, Alemanha