Beim Kauf von zwei Produkten der Kategorien Essix Folien oder SpaceFiles wird der Rabatt auf der Rechnung abgezogen.
ACHTUNG: Ab 1. Mai ist dieser Rabatt nur mehr online und mit Code ORTHO20 verfügbar.
DS World Germany - 13. – 14. März 2026. Mehr erfahren
Newsletter abonnieren und 5% auf die nächste Bestellung im Webshop sichern! Jetzt anmelden
Jetzt verfügbar: MIS SEVEN XD Implantate & MIS C1 XD Implantate können ab sofort online bestellt werden. Jetzt einkaufen!
5 % Rabatt auf Ihre erste Online-Bestellung – Verwenden Sie den Code WILLKOMMEN5 im Warenkorb. Jetzt einkaufen
Windows 11 Security Package Mehr erfahren
Beim Kauf von zwei Produkten der Kategorien Essix Folien oder SpaceFiles wird der Rabatt auf der Rechnung abgezogen.
ACHTUNG: Ab 1. Mai ist dieser Rabatt nur mehr online und mit Code ORTHO20 verfügbar.
Experience the future of connected dentistry: Die Dentsply Sirona World – 2026 erstmals in Deutschland – steht für einen vielfältigen Kongress mit international anerkannten Referenten, zahlreichen Fortbildungsvorträgen (inkl. CE-Punkte) & Workshops sowie einem kollegialen Miteinander.
Unsere Nachhaltigkeitsstrategie ist für unsere Mission und unser gesamtes Handeln von grundlegender Bedeutung.
Zukunftssicher im Produktangebot, engagiert für Ihren beruflichen Erfolg und zuverlässig in Qualität und Service –dafür stehen wir mit unserem Existenzgründerprogramm.
TruNatomy Behandlungskonzept
TruNatomy ist ein umfassendes endodontisches Behandlungskonzept, das Folgendes bietet:
In dieser Sammlung von Erfahrungsberichten teilen Ärzte ihre Erfahrungen mit TruNatomy. Von einfachen2 bis hin zu komplexen Fällen3, ist TruNatomy eine Lösung, die Zahnärztinnen und Zahnärzte in ihrer täglichen Praxis unterstützt.
"Ein patienten- und behandlungsorientierter Erfolg." Dr. Cowie
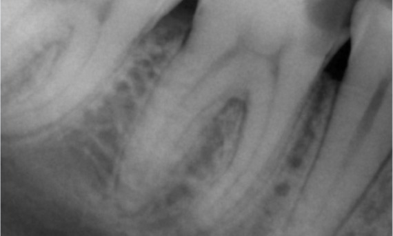
Vorher: Periapikale Radioluzenz primär an der distalen Wurzel und Verlust der Lamina dura an der mesialen Wurzel.
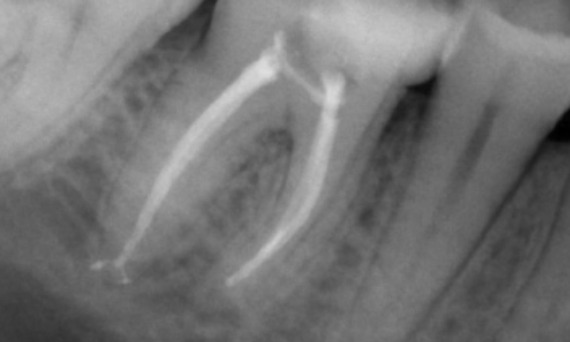
Nachher: In diesem Fall wurde TruNatomy gewählt, um einen kariesfreien Ansatz zu ermöglichen und sich auf den Erhalt des perizervikalen Dentins zu konzentrieren, insbesondere auf der mesialen Seite, wo der Zahn eine minimalere Restauration aufwies.
Bath, UK
"Ich habe mich für TruNatomy entschieden, um so viel Dentin wie möglich zu erhalten, um die okklusale Belastung zu bewältigen und die Langlebigkeit des Zahns zu erhöhen." Dr. Abuelezz
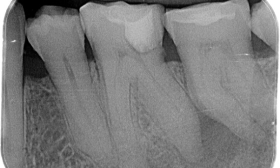
Vorher: Bei der Untersuchung wurde eine Karies-Läsion am unteren rechten ersten Molaren festgestellt. Bei der röntgenologischen Untersuchung zeigte sich die Nähe der Läsion zum Pulpahorn. Zusammen mit den Hauptbeschwerden wurde die endgültige Diagnose einer chronischen irreversiblen Pulpitis gestellt.
Nachher: Die Zugangskavität wurde so konservativ wie möglich gestaltet. Da es sich um einen jungen Patienten handelte, war TruNatomy das System der Wahl. Wir mussten das Dentin so weit wie möglich erhalten, um die Fähigkeit des Zahns zur Bewältigung der okklusalen Belastung und die Langlebigkeit der endgültigen Restauration zu erhöhen.
Kairo, Ägypten
Erfahren Sie mehr über endodontische Produkte und Lösungen.
1 Im Vergleich zu ProTaper Next
2 Dr. Filippo Santarcangelo (S. 8 – Klinische Fälle und Erfahrungsberichte PDF)
3 Dr. Jonathan Cowie (S. 12 – Klinische Fälle und Erfahrungsberichte PDF)