Apprenez-en davantage sur l’ensemble de sécurité Windows 11 de Dentsply Sirona pour continuer à assurer la sécurité et la compatibilité de vos appareils Dentsply Sirona.
Ensemble de sécurité Windows 11 En savoir plus
Rejoignez-nous pour un événement créé exclusivement pour les orthodontistes et leur équipe. Découvrez une formation clinique immersive, des parcours de formation animés par des experts et des flux de travail numériques concrets. Rencontrez vos pairs et découvrez de nouvelles opportunités pour améliorer votre pratique et renforcer les compétences de votre équipe.
Notre stratégie de développement durable est fondamentale pour notre mission et toutes nos actions en tiennent compte.
Collection Primeprint
Découvrez comment la technologie d’impression 3D peut simplifier, accélérer votre travail et le rendre agréable. À l’aide des cas cliniques, vos collègues démontrent la valeur ajoutée de Primeprint pour le quotidien d’un cabinet et les tâches de laboratoire. En tant que dentiste, vous remarquez : Que vos patients sont impressionnés par la technologie moderne et apprécient grandement l’expérience de la dentisterie. Que les techniciens dentaires utilisant la technologie d’impression 3D peuvent également indiquer à leurs cabinets partenaires que leur laboratoire se concentre sur la fabrication numérique.
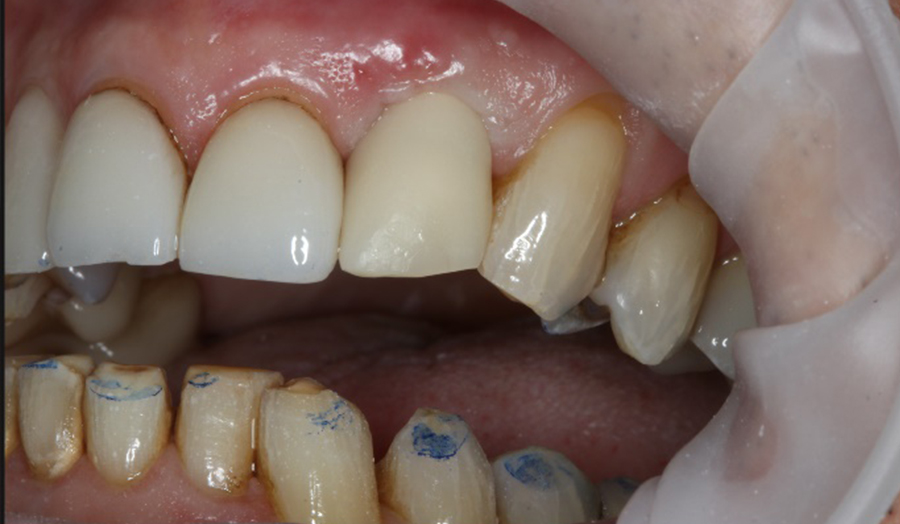
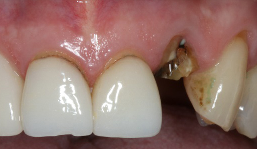
Un homme de 62 ans s’est présenté à mon cabinet. Sa dent 10 était cassée et non réparable. Nous avons planifié un seul implant avec un guide chirurgical et un pont provisoire, tous deux fabriqués avec Primeprint. La chirurgie a été réalisée en 20 minutes et il nous a fallu 10 minutes pour lier le pont provisoire.
Avant : Situation initiale avec une dent 10 cassée, non réparable
Utilisation : Placer le guide chirurgical des impressions 3D avec le matériau du guide Primeprint en l’ajustant parfaitement
Après Mise en place du pont Maryland à une aile avec matériau Primeprint Temp en impression 3D comme restauration provisoire
Centennial, É.-U.
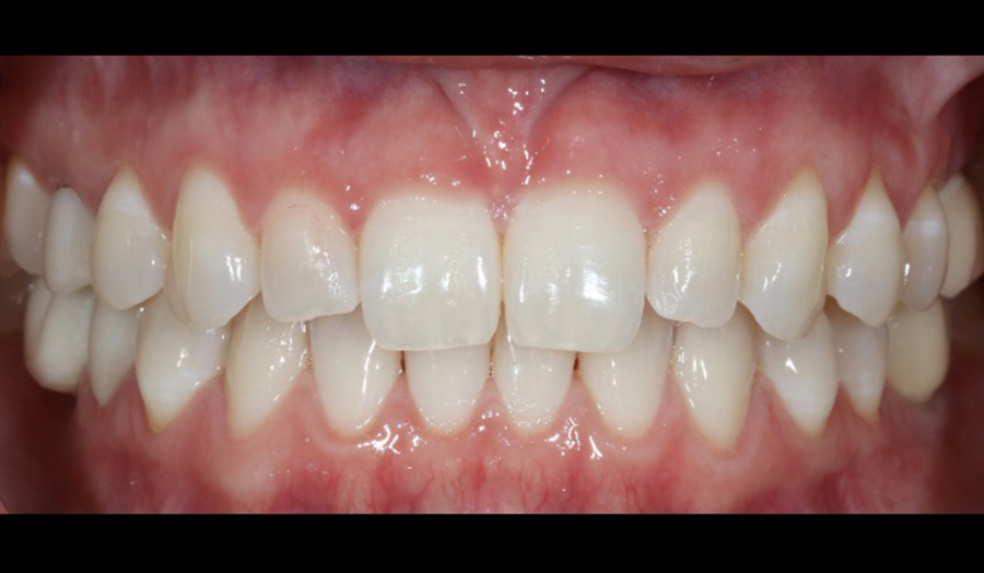
Une femme de 47 ans préoccupée au sujet de six couronnes de zircone antérieures récemment réalisées dans un autre cabinet s’est présentée. L’efficacité et la facilité d’utilisation de la solution Primeprint m’ont permis d’imprimer rapidement des modèles le jour même du traitement, ce qui m’a permis de présenter un aperçu du traitement à la patiente avant la production finale avec CEREC Primemill.
Avant : Situation buccale initiale avec asymétrie significative des lèvres en souriant
Utilisation : Modèle en impression 3D avec matrices creuses fabriquées avec le matériau Primeprint Model
Après Restauration finale
Orono, É.-U.
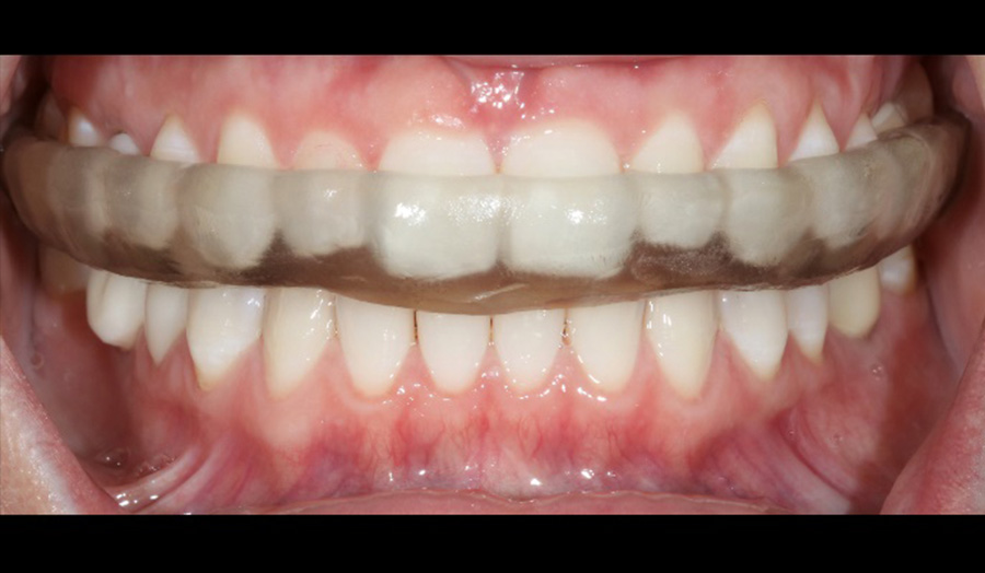
Un homme de 34 ans s’est présenté à mon cabinet avec des symptômes de bruxisme nocturne. Il ressentait des douleurs musculaires. Nous avons décidé que le port d’un protège-dents amovible la nuit minimiserait l’usure de sa dentition.
Avant : Situation buccale initiale avec symptômes de
bruxisme nocturne
Utilisation : Finalisation de l’objet à imprimer
Après Attelle de contention amovible en impression 3D, fabriquée avec le matériau Primeprint Splint
Arlington Heights, É.-U.
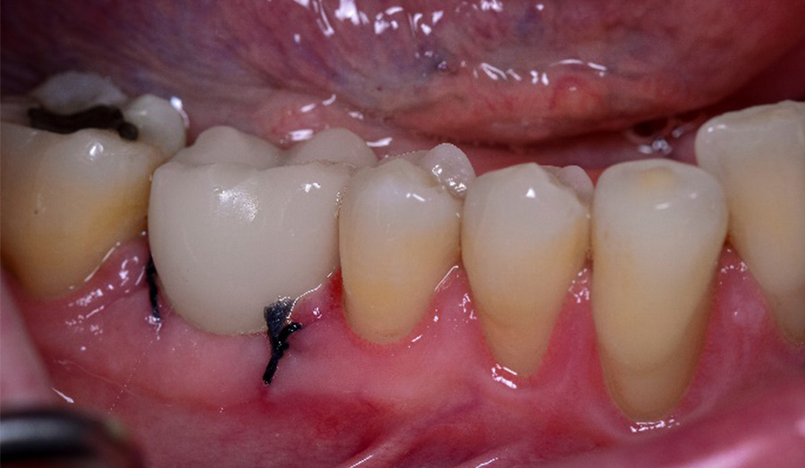
Un homme de 58 ans s’est présenté à mon cabinet avec une dent 30 manquante. Il voulait restaurer sa fonction naturelle de mastication tout en préservant une structure dentaire saine. Le trou devait être restauré avec un implant et une couronne en céramique. J’ai planifié et mis en œuvre le traitement de manière numérique.
Avant : Situation buccale initiale d’une dent manquante
Utilisation : Guide chirurgical des impressions 3D fabriquées avec le matériau Primeprint Guide
Après Impressions 3D des restaurations provisoires avec le matériau Primeprint Temp (première comparaison) et restauration finale (deuxième comparaison)
Velbert, Allemagne
Une prothèse dentaire amovible, très esthétique, sans éléments de retenue visibles, devait être fabriquée pour une patiente de 73 ans. Il lui manquait plusieurs dents et elle avait déjà porté un modèle moulé de prothèse dentaire. Elle ne se sentait pas satisfaite des impressions conventionnelles jusqu’à présent et voulait en changer. L’idée était de réduire les plus possible les empreintes requises.
Avant : Situation initiale d’un modèle numérique de la mandibule du patient
Utilisation : Impression 3D d’un porte-empreinte sur un modèle d’impression 3D, fabriqué avec un plateau Primeprint et un matériau de modèle Primeprint
Darmstadt, Allemagne
En savoir plus sur les solutions Primeprint offertes par Dentsply Sirona.
© 2026 - Dentsply Sirona, Inc. Tous droits réservés