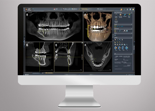
3D画像から得られるデータのレベルは、歯科診断における革命的な力となります。重なった歯、予期しない根管、隠れた根を視覚化できることで、患者さんの診断における正確性とインパクトが高まります。理解を深め自信を高めることは、患者さんの受諾と治療の成功にポジティブな形で影響します。
Orthophos Sは、いつでも3D機能を追加してアップグレードできるので、これらのX線装置はサービスレベルに合わせて調整し、歯科医院の成長に対応することができます。これら2つの3Dモデルでは、細かい構造のために高解像度のボリューム(HD)を使用するか、密な構造のために低被曝線量フィルター を選択するかを、ケースバイケースで決定できます。
ボリューム
ボリュームサイズ、被曝線量、画質に関しては、各臨床症例ごとに個別の要件が必要になります。ニーズに合わせて適切なボリュームを選択してください。直径5 cm x 5.5 cmのフォーカスされたボリュームから直径11 cm x 10 cmのボリューム用。これには親知らずと上部呼吸器の表示が含まれます。
金属アーチファクト軽減ソフトウェア (MARS)
金属アーチファクトは、3D X線装置の課題です。X線不透過性の物体があると、三次元再構成中に影やストリーク効果が生じ、所見の妨げになります。MARSでは自動で金属アーチファクトが低減されるため、スムーズに診断を行うことができます
高解像度(HD)モード
標準解像度モード(SD)は、診断に必要な基本的な臨床情報を提供します。一部の臨床症例では、治療計画と実施のために、細かい構造の可視性が高い、より高品質の画像が必要になります。HDモードでは、1回のローテーション中に最大800枚の個別画像を記録し、これらを低ノイズで高解像度(最大80μm)の3Dボリュームに統合します。このモードでは、記録されたボリューム内でより迅速かつ安全な診断が確実なものになります。
低被曝線量モード
専用フィルターで最適化された低線量モードにより、大幅に低減された被曝線量で、骨などの密な構造の画像診断が可能になります。そのため、低被曝線量は多くの臨床タスク、特に矯正治療やインプラントロジーにおいて効率的なオプションとなります。3D画像撮影ができれば、患者さんは最早CBCTスキャンのための紹介状を必要とせず、プロセスが簡素化されると共に、提供できるサービス範囲が拡大されます。