Beim Kauf von zwei Produkten der Kategorien Essix Folien oder SpaceFiles wird der Rabatt auf der Rechnung abgezogen.
ACHTUNG: Ab 1. Mai ist dieser Rabatt nur mehr online und mit Code ORTHO20 verfügbar.
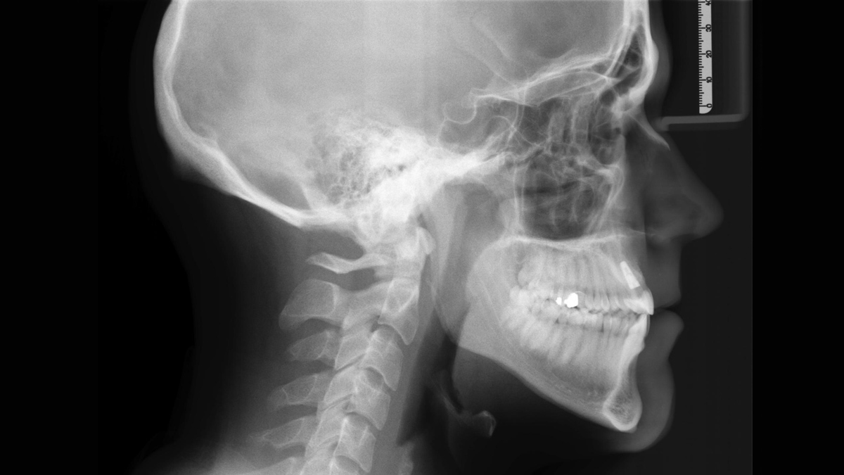
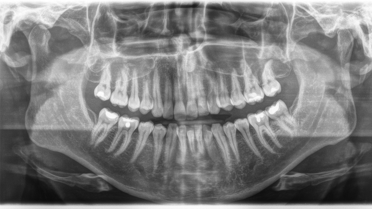
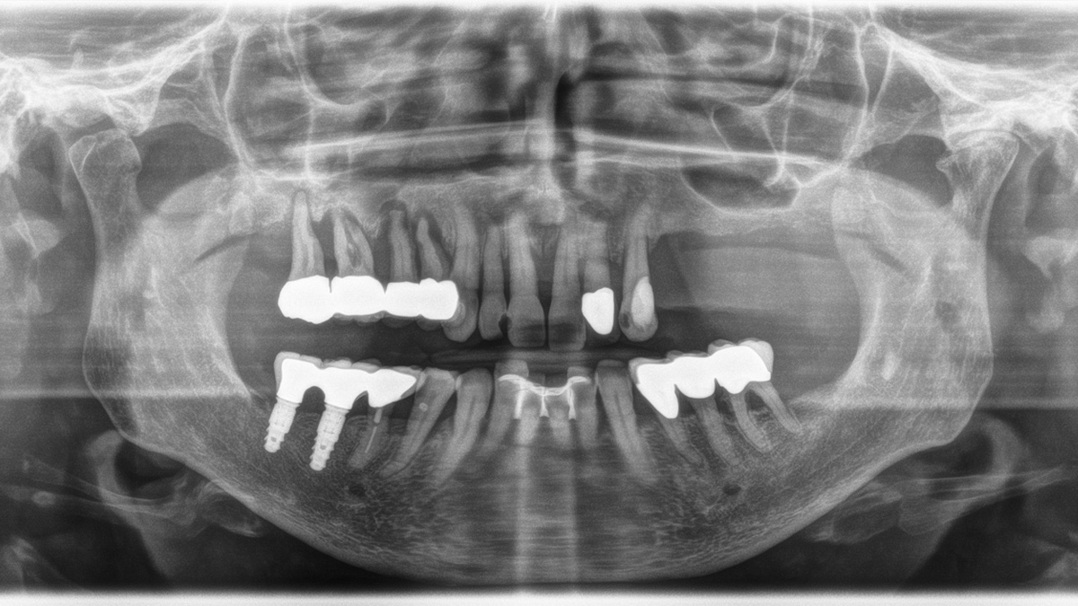
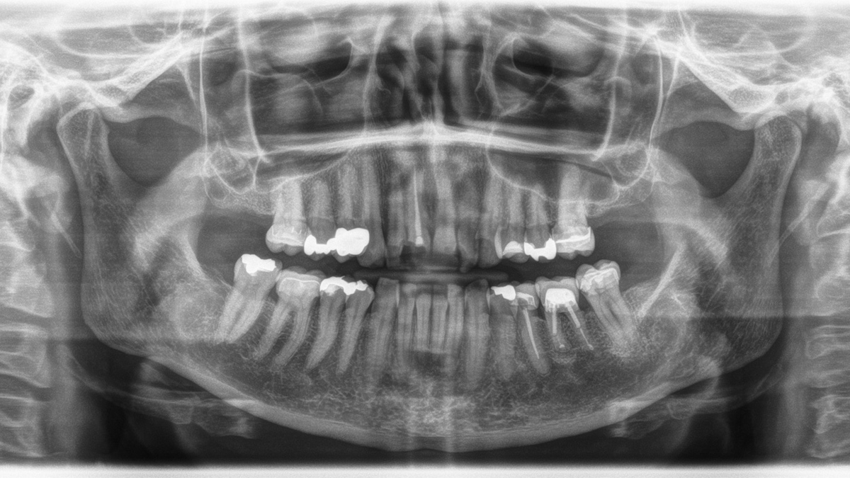
Das solide 2D-Röntgengerät bietet einen reibungslosen Einstieg in die Welt der digitalen Bildgebung. Dank der CsI-Sensortechnologie und der einfach zu bedienenden Benutzeroberfläche ist eine zuverlässige Diagnose jederzeit gewährleistet. Mit der Fernröntgen-Option ist der Orthophos E auch bei klinischen Fragestellungen im Bereich der Kieferorthopädie ein zuverlässiger Partner. So bereichern Sie Ihre Praxis mit einem breiten Spektrum an Anwendungen, die erst durch die digitale Bildgebung möglich sind.
Vorteile
Dank des 2D CsI-Sensors und der zuverlässigen Bildqualität
Mit der motorischen Schläfen- und Stirnstütze, automatischen Schläfenweitenmessung, Lichtvisieren und integrierten Handgriffen zur Stabilisierung der Position
Für die Basisdiagnostik in 2D
Zur optimalen diagnostischen Unterstützung in der Kieferorthopädie kann ein linker Ceph-Arm bestellt oder jederzeit nachgerüstet werden
Mit der MultiPad-Bedienoberfläche
Orthophos E verfügt über zwei integrierte Lichtvisiere, die eine ideale Positionierung in der scharfen Schicht ermöglichen. Die motorisierten Stirn- und Schläfenstützen fixieren den Kopf des Patienten sanft und bieten zusätzlichen Halt, um Bewegungsunschärfen zu vermeiden.
Weitere Informationen finden Sie unter Sidexis 4 Systemanforderungen..
Dentsply Sirona Röntgengeräte arbeiten ausschließlich mit Sidexis 4. Aber die Datenmigration von Sidexis XG zu Sidexis 4 ist sehr einfach. Sidexis 4 ermöglicht das vollständige digitale Erlebnis mit den neuesten Tools