Kontakt

Interessiert an PEERS?

Sie möchten mehr über PEERS erfahren? Kontaktieren Sie uns.

PEERS – Ihr Expertennetzwerk für Erfahrungsaustausch, Forschung und Wissenschaft

PEERS (Platform for Exchange of Experience, Research and Science) ist ein von Dentsply Sirona unterstütztes internationales Expertennetzwerk für Erfahrungsaustausch, Weiterbildung, Forschung und Wissenschaft mit Mitgliedern aus Klinik, Praxis und Zahntechnik.

Als innovativem und wissenschaftlich orientiertem Unternehmen liegt Dentsply Sirona die Förderung des wissenschaftlichen Nachwuchses sehr am Herzen. Neugier und Forscherdrang sind die Basis der Weiterentwicklung in der Implantologie. Wichtige Impulse werden durch die Bereitschaft gesetzt, zu lehren und zu lernen. Diesem Grundsatz hat sich PEERS verschrieben. 

Das bietet Ihnen unser Expertennetzwerk:

PEERS Expertennetzwerk

Platform

Treffpunkt für Kollegen, namhafte Referenten und intensive Diskussionen

Exchange

Austausch von Wissen, innovativen Konzepten und praktischen klinischen Tipps

Experience

Aus Erfahrungen lernen und die Professionalität und Effizienz in Praxis und Labor erhöhen 

Research

Forschung, die Sicherheit bietet, um auf Innovationen vertrauen zu können

Science

Wissenschaftliche Studien und Projekte, an denen Sie sich beteiligen können

  • Ao. Univ.-Prof. Dr. med. univ. Martin Lorenzoni
    Präsident

    Medizinstudium an der Karl-Franzens-Universität Graz
    Ausbildung zum Facharzt für Zahn-, Mund- und Kieferheilkunde, Karl-Franzens-Universität Graz
    Habilitation und ao Professor an der Klinischen Abteilung für Zahnersatzkunde
    Supplierender Leiter der Klinische Abteilung für Zahnerhaltung, Parodontologie und Zahnersatzkunde

  • DDr. Sascha Virnik
    Vizepräsident

    Medizinstudium der gesamten Heilkunde an der Universität Wien
    Studium an der Universitätsklinik für Zahn-, Mund- und Kieferheilkunde in Wien
    Oberarzt der Abteilung für Mund-, Kiefer- und plastische Gesichtschirurgie Klagenfurt – Schwerpunkt rekonstruktive plastische Gesichtschirurgie
    Externer Lehrbeauftragter der Universität Graz

Interessiert? Kontaktieren Sie uns.

Regionale Gruppen

PEERS GruppeOrtVorsitzendeDentsply Sirona Ansprechpartner
AllgäuUlmDr. Fabienne Schweizer         
Dr. Sebastian Quaas 
Peter Phillip
IsarMünchenDr. Pascal Black                    
Dr. Dr. Andreas Hoffmann
Peter Phillip
Jade-WeserOldenburgProf. Dr. Philipp KohorstHeike Fischer
KurpfalzMannheimDr. Dr. Bibiana Kotrikova      
Dr. Dr. Tilo Johannes Barth
Peter Phillip
Main-DonauNürnbergDr.Marcus Riedl                  
ZTM Peter Schulz
Peter Phillip
MitteKasselPD Dr. Dr. Heidrun Schaaf
Prof. Dr. Bernd Giesenhagen
Heike Fischer
Nord-OstseeHamburgDr. Ulrika Montén                
Prof. Dr. Kai-Hendrik Bormann
Heike Fischer
OWL-EmsBielefeld / Osnabrück Dr. Jasmin Ahlers               
Prof. Dr. Dr. Jänicke
Heike Fischer
Rhein-MainMainzDr. Dr. Rainer Buch               
Dr. Dr. Christian Küttner
Heike Fischer
Rhein-NeckarStuttgartDr. Ali-Reza Ketabi                
Dr. Helmut Steveling
Peter Phillip
Rhein-RuhrWachtbergZTM Olaf van Iperen             
Dr. Mehmet Ali Derman
Heike Fischer
Saale-ElbeLeipzigDr. Dr. Udo Schwarzott                
Dr. Jörg-Ulf Wiegner
Heike Fischer
SaarSt. IngbertDr. Abed Robbo M.Sc.         
Dr. Patrick Goedicke
Peter Phillip
SpreeBerlinDr. Michael Loeck                  
ZA Alexander Fischer
Heike Fischer
Süd-BadenSingenDr. Thomas Seitner               
ZA Lars Ahlskog
Peter Phillip
WeserHannoverMKG Klaus Bothe                 
Dr. Björn Rahlf
Heike Fischer
SchweizZürichDr. Alessandro Mattiola         
PD Dr. Daniel S. Thoma
Peter Phillip
ÖsterreichPörtschachUniv. Prof. Dr. Martin Lorenzoni
DDr.  Sascha Virnik
 

Termine

13. PEERS Gesamttagung Frankfurt am Main 24. – 25.01.2025

PEERS 2024 Heidelberg 29.09.2024                             

PEERS 2024 Hamburg 12.04.2024                           

PEERS-Gesamttagungen

Die Vorträge

Dr. Reinhard Gruber, Professor für Orale Biologie an der Medizinischen Universität Wien, forscht mit seinem Team an molekularen und zellulären Mechanismen der oralen Wundheilung und Knochenregeneration. Mit seinem Referat Plättchenreiches Fibrin (PRF): Biologische Prinzipien und deren Anwendung gab er anhand der aktuellen Literatur und neuesten Ergebnissen aus dem eigenen Forschungsbereich einen fundierten Überblick und praxisrelevante Hinweise zum Thema PRF und seinen verfahrensabhängigen, indikationsspezifischen Varianten – Solid oder Liquid PRF – und deren Indikationsbereiche.

Solid PRF, aus dem die PRF-Membranen durch Auspressen von Serum hergestellt werden, dient als Reservoir bioaktiver Moleküle und als Matrix zur Unterstützung der Wundheilung und Knochenregeneration. Die roten Zentrifugenröhrchen enthalten Aktivatoren der Blutgerinnung. Aufgrund der raschen Gerinnung ist in der Praxis die Zentrifugation des Blutes innerhalb von 60 bis 90 Sekunden entscheidend, um PRF-Membranen in Standardgröße herzustellen, da eine längere Wartezeit bereits zu einer signifikanten Größenreduktion führen kann. Da manche Röhrchen lösliche Aktivatoren wie Silikate und Silikone enthielten, die sich dann auch im Sold PRF wiederfänden, empfahl der Referent, die Röhrchen vor Erstgebrauch zu testen: einfach die Röhrchen mit Wasser füllen und schütteln. Färbt sich das Wasser weiß und schäumt es auf, ist das ein untrüglicher Hinweis auf unliebsame Substanzen. Insgesamt haben die Röhrchen im Vergleich zu den Zentrifugen einen größeren Einfluss auf die endgültige Größe der PRF-Membranen.

Die Verteilung und Menge der Leukozyten im PRF hängen mit der Dauer und der Umdrehungszahl bzw. der relativen Beschleunigung (g) der Zentrifugation ebenso zusammen wie mit der Bauweise der Rotoren. Wir unterscheiden Zentrifugen mit geneigten von jenen mit frei ausschwingendem Rotor, wobei letzterer zu einer schärferen Separation der Komponenten führt. Bei den Zentrifugen mit geneigtem Rotor unterscheiden wir A-PRF das bei 1.300 rpm (etwa 200 g) in 8 Minuten hergestellt wird von L-PRF das bei 2.700 rpm (etwa 700 g) und 12-minütigem Zentrifugieren gewonnen wird. Bei Zentrifugen mit frei ausschwingendem Rotor wird das H-PRF bei 700 g und 8 Minuten hergestellt. Trotz der teilweise unterschiedlichen Verteilungen der Zellen im Solid PRF ist die klinische Relevanz der unterschiedlichen Präparationen größtenteils unbekannt.  

Liquid PRF gewinnt man in weißen, blauen und grünen Röhrchen; grundsätzlich sind das Röhrchen, die keine Aktivatoren enthalten. Großvolumiges Liquid PRF wird zur Herstellung von „sticky bone“ verwendet, dem Solid PRF beigemengt wird. Beim kleinvolumigen Liquid PRF unterscheiden wir das i-PRF das bei etwa 300 g für 5 Minuten hergestellt wird vom C-PRF das bei 2.000 bis 3.000 g und 8 Minuten Zentrifugation hergestellt wird. Das C-PRF entspricht dem „buffy coat“, also der Anreicherungszone von Thrombozyten und Leukozyten oberhalb des roten Blotklots. Großvolumiges Liquid PRF erhält man durch gemeinsames Verwenden des zellarmen Plasmas („platelet-poor plasma“; PPP) und des zellreichen C-PRF. Die Präparation von Liquid PRF ist nicht streng geregelt. So lassen sich Liquid A-PRF und Liquid L-PRF ebenfalls durch den Einsatz unbeschichteter Röhrchen in verschiedenen Zentrifugen herstellen. Abschließend erwähnet Prof. Gruber das durch Erhitzen von PPP ein Albumin-Gel entsteht, das mit C-PRF angereichert wird und verzögerte Resorptionseigenschaften aufweist. Ob das Albumin-PRF sich künftig als biologische Barrieremembran für GBR-Verfahren anbietet, muss noch geklärt werden.

Das Einsatzspektrum von PRF mit seinen Varianten L-PRF, A-PRF, H-PRF, i-PRF, C-PRF und PPP ist breit gefächert und die Effizienz als Matrix, flüssig oder in Kombination mit Knochenersatzmaterial in der Literatur von Autoren wie Richard Miron, Shahram Ghanaati und Marc Quirynen gut dokumentiert: Socket Preservation, verbesserte und induzierte Angiogenese, Stabilisierung der Extraktionsalveole, Regeneration der Weichgewebe im Bereich von Implantaten, Keratinisierung der Mukosa, Rezessionsdeckung, Heilung bei Osteonekrose, Schmerzreduktion sowie eine Minderung der Nebenwirkungen antiresorptiver Therapie, verbunden mit verbesserter Ausheilung.

Eigene Forschungsdaten von Prof. Gruber zeigen, dass – unabhängig von der Präparation – PRF eine stark entzündungshemmende Wirkung auf Makrophagen und Zellen der mesenchymalen Linie hat. Zudem hemmt PRF die Entstehung knochenresorbierender Osteoklasten in vitro, wodurch der Erhalt des Alveolarkamms zumindest theoretisch gefördert ist. Weitere Studien legen nahe, dass die von PRF freigesetzte TGF-β-Aktivität an Titanoberflächen und Kollagenmembranen adsorbiert und somit den Heilungsprozess lokal fördert. PRF kann auch den oxidativen Stress durch die Freisetzung von Katalase reduzieren. Bekannt ist zudem das angiogene Potenzial von PRF, worüber die Bildung von Blutgefäßen in vivo gefördert werden konnte. Fazit: Die Erforschung von PRF in Bezug auf die molekularen und zellulären Mechanismen und die klinische Anwendung bleibt spannend.

 

Literatur

Castro AB, van Dessel J, Temmermann A, Jacobs R, Quirynen M: Effect of different platelet-rich fibrin matrices for ridge preservation in multiple tooths extractions: A split-mouth randomized controlled clinical trial. J Clin Periodontol. 2021 Jul;48(7):984-995.

Di Summa F, Kargarpour Z, Nasirzade J, Stähli A, Mitulovic G, Panic-Jankovic T, Koller V, Kaltenbach C, Müller H, Panahipour L, Gruber R, Strauss FJ: TGFβ activity released from platelet-rich fibrin adsorbs to titanium surface and collagen membranes. Sci Rep. 2020 Jun 23;10(1):10203.

Fujioka-Kobayashi M, Schaller B, Mourão CFAB, Zhang Y, Sculean A, Miron JR: Biological characterization of an injectable platelet-rich fibrin mixture consisting of autologous albumin gel and liquid platelet-rich fibrin (Alb-PRF). Platelets. 2021 Jan 2;32(1):74-81.

Gheno E, Mourão CFAB, Mello-Machado RC, Stellet Lourenço E, Miron JR, Catarino KFF, Alves AT, Gutemberg Alves GG, Calasans-Maia MD: In vivo evaluation of the biocompatibility and biodegradation of a new denatured plasma membrane combined with liquid PRF (Alb-PRF). Platelets. 2021 May 19;32(4):542-554.

Kargarpour Z, Nasirzade J, Panahipour L, Miron RJ, Gruber R: Liquid PRF Reduces the Inflammatory Response and Osteoclastogenesis in Murine Macrophages. Front Immunol 2021;12:636427.

Kargarpour Z, Nazirsade J, di Summa F, Panahipour L, Miron RJ, Gruber R: Platelet-Rich Fibrin Can Neutralize Hydrogen Peroxide-Induced Cell Death in Gingival Fibroblats. Antioxidants (Basel). 2020 Jun 26;9(6):560.

Feng M, Wang Y, Zhang P, Zhao Q, Yu S, Shen K, Miron RJ, Zhang Y: Antibacterial effects of platelet-rich fibrin produced by horizontal centrifugation. Int J Oral Sci. 2020 Dec;12(1):32.

Kargarpour Z, Nazirsade J, Strauss FJ, di Summa F, Hasannia S, Müller HD, Gruber R: Platelet-rich fibrin suppresses in vitro osteoclastogenesia. J. Periodontol. 2020 Feb;91(2):244-252.

Miron JR, Chai J, Zhang P, Li Y, Wang Y, Mourão CFAB, Sculean A, Kobayashi MF, Zhang Y: A novel method for harvesting concentrated platelet-rich fibrin (C-PRF) with a 10-fold increase in platelet and leukocyte yields. Clin Oral Investigat. 2020 Aug;24(8):2819-2828.

Miron RJ, Chai J, Fujioka-Kobayashi M, Sculean A, Zhang Y: Evaluation of 24 protocols for the production of platelet-rich fibrin. BMC Oral Health. 2020 Nov 7;20(1):310.

Miron RJ, Chai J, Zheng S, Feng M, Sculean A, Zhang Y: A novel method for evaluating and quantifying cell types in platelet rich fibrin and an introduction to horizontal centrifugation. J Biomed Mater Res A. 2019 Oct;107(10):2257-2271.

Miron RJ, Dham A, Dham U, Zhang Y, Pikos M, Sculean A: The effect of age, gender, and time between blood draw and start of centrifugation on the size outcomes of platelet-rich fibrin (PRF) membranes. Clin Oral Investig. 2019 May;23(5):2179-2185.

Miron RJ, Moraschini V, Del Fabbro M, Piatelli A, Fujioka-Kobayashi M, Zhang Y, Saulacic N, Schaller B, Kawase T, Cosgarea L, Jepsen S, Tuttle D, Bishara M, Canullo L, Eliezer M, Stavropoulos A, Shirakata Y, Stähli A, Gruber R, Lucaciu O, Aroca S, Deppe H, Wang HL, Sculean A: Use of platelet-rich fibrin for the treatment of gingival recessions: a systematic review and meta-analysis. Clin Oral Investig. 2020 Aug;24(8):2543-2557.

Miron RJ, Moraschini V, Fujioka-Kobayashi M, Zhang Y, Kawase T, Cosgarea L, Jepsen S, Bishara M, Canullo L, Shirakata Y, Gruber R, Ferenc D, Calasans-Maia MD, Wan HL, Sculean A: Use of platelet-rich fibrin for the treatment of periodontal intrabony defects: a systematic review and meta-analysis. Clini Oral Investig. 2021 May;25(5):2461-2478.

Miron RJ, Pinto NR, Quirynen M, Ghanaati S: Standadization of relative centrifugal forces in studies related to platelet-rich fibrin. J Periodontol. 2019 Aug;90(8):817-820.

Miron RJ, Xu H, Chai J, Wang J, Zheng S, Feng M, Zhang X, Wei Y, Chen Y, Mourão CFAB, Sculean A, Zhang Y: Comparison of platelet-rich fibrin (PRF) produced using 3 commercially available centrifuges at both high (~ 700 g) and low (~ 200 g) relative centrifugation forces. Clin Oral Investig. 2020 Mar;24(3):1171-1182.

Pinto NR, Ubilla M, Zamora Y, Del Rio V, Ehrenfest DMD, Quirynen M: Leucocyte- and platelet-rich fibrin (L-PRF) as a regenerative medicine strategy for the treatment of refractory leg ulcers: a prospective cohort study. Platelets 2018 Jul;29(5):468-475.

Nazirsade J, Kargarpour Z, Hasannia S, Strauss FJ, Gruber R: Platelet-rich fibrin elicits an anti-inflammatory response in macrophages in vitro. J. Periodontol. 2020 Feb;91(2):244-252.

Ratajczak J, Vangansewinkel T, Gervois P, Merckx G, Hilkens P, Quirynen M, Lambrichts I, Bronckaers A: Angiogenic Properties of ‘Leukocyte- and Platelet-Rich Fibrin’. Sci Rep. 2018 Oct. 2;8(1)14632.

Sato A, Kawabata H, Aizawa H, Tsujino T, Isobe K, Watanabe T, Kitamura Y, Miron RJ, Kawase T: Distribution and quantification of activated platelet-rich fibrin matrices. Platelets. 2020 Dec 7;1-6.

Temmerman A, Cleeren GJ, Castro AB, Teughels W, Quirynen M: L-PRF for increasing the width of keratinized mucosa around implants: A split-mouse, randomized, controlled pilot clinical trial.
J. Periodontal Res. 2018;53:793-800.

Temmerman A, Cleeren GJ, Castro AB, Teughels W, Quirynen M: L‐PRF for increasing the width of keratinized mucosa around implants: A split‐mouth, randomized, controlled pilot clinical trial. J Periodontal Res. 2018 Oct;53(5):793-800.

Temmerman A, Vandessel J, Castro A, Jacobs R, Teughels W, Pinto N, Quirynen M: The use of leucocyte and platelet-rich fibrin in socket management and ridge preservation: a split-mouth, randomized, controlled clinical trial. J Clin Periodontol. 2016 Nov;43(11):990-999.

Valente NA, Chatelain S, Alfonsi F, Mortellaro C, Barone A: Medication-Related Osteonecrosis of the Jaw: The Use of Leukocyte-Platelet-Rich Fibrin as an Adjunct in the Treatment. J Craniofac. Surg. 2019;30(4):1095-1101.

ZTM Haristos Girinis aus Nagold gab anhand einer Fülle exemplarischer und inspirativer Bilder einen aktuellen Überblick über die verschiedenen Optionen, die sich bei einer vollkeramischen Versorgung dem Zahntechniker je nach Anforderung des Zahnarztes und Anspruch des Patienten bieten. Neben den qualitativen und ästhetischen Aspekten einer Restauration müsste dabei auch die Wirtschaftlichkeit beachtet werden. Das gelte für Einzelkämpfer wie für Großlabore gleichermaßen.

Die laufende Optimierung und Spezifizierung der vollkeramischen Gerüstmaterialen – Festigkeit, Transluzenz, mehrschichtige Farbverläufe – erlauben ein breiteres Verwendungs­spektrum und eine optimierte Verarbeitung, indem die klassische Schichttechnik um die Maltechnik erweitert wurde. Dafür stehen dem Zahntechniker neuerdings auch 3D-Pastenkeramiken zur Verfügung. Sind diese Pasten schon ein echter Ersatz für die klassische Verblendkeramik? Oder gibt es (noch) Grenzen hinsichtlich Handling, Funktion, Festigkeit und Ästhetik?

Festzuhalten sei, es gibt (noch) kein Material, das die relevanten Komponenten für eine ästhetische wie funktionale und langlebige Restauration – Festigkeit, Farbsättigung, Transluzenz, Opaleszenz, Fluoreszenz, Oberfläche, Struktur und andere mehr – in sich vereinigt. Zu viele Parameter sind zu bedenken: Die Ansprüche und Wünsche von Patienten, Zahnarzt und Zahntechniker, intraorale Befunde (Zustand Restgebiss, okklusale Beschaffen­heit, Kaumuster, Bruxismus u. a. m.), Art der Versorgung (wie festsitzend, herausnehmbar, bedingt herausnehmbar, zahn- oder implantatgetragen, Resilienz der Trägerstruktur) und nicht zuletzt die lnvasivität der Restauration.

So nimmt bei Zirkonoxid mit zunehmender Transluzenz die Biegefestigkeit ab und umgekehrt, was wiederum seine Indikation im Front- und Seitenzahnbereich sowie als Einzelzahn oder mehrgliedrige Brücken bestimmt. Das gilt ebenso für die Multilayer-Materialien. Lithiumdisilikat zeichnet sich durch sehr gute lichtoptische Eigenschaften für die ästhetische Integration aus, ist aber nur für Kronen und dreigliedrige Brücken geeignet. Mit 2D-Pasten lassen sich farbige Glasuren ohne Struktur auftragen. Ihre geringe Partikel­größe in Wechselwirkung mit der Transluzenz der darunterliegenden Massen ermöglicht eine Optimierung der Zahnfarbe, des Helligkeitswertes sowie der Tiefenwirkung vollkerami­scher Restaurationen. Mit den gebrauchsfertigen 3D-Pasten kann zudem Struktur auf die Oberflächen brennstabil aufgebracht werden. Die Verbindung etwas größerer Keramik­partikel mit einer thixotropen Paste ermöglicht eine natürliche Gestaltung im Schneide-
und Kauflächenbereich, das präzise Anbringen von Kontaktpunkten sowie eine Fluoreszenz natürlicher Zähne.

Sein Fazit:
Die klassische Verblendkeramik ist zwar noch nicht gänzlich zu ersetzen, aber die modernen Vollkeramiksysteme in Verbindung mit 3D-Pasten vereinfachen und verkürzen den Workflow im Labor. Die Ergebnisse sind ästhetisch ansprechend, da neben Farbe und Glasur auch Struktur aufgebracht wird. Welche Keramikmassen – Lithiumdisilikat oder ultrahochtransluzentes Zirkonoxid –eingesetzt werden, hängt von der Art der Präparation, dem Befestigungswunsch und dem ästhetischen Anforderungsprofil ab.

Dr. Peter Gehrke und Zahntechniker Carsten Fischer erörterten im Teamwork die verschie­denen Indikationen und diskutierten die Frage, was digitaler Workflow eigentlich ist. Für viele sei das gleichbedeutend mit navigierter Planung, um darüber die Voraussetzung für eine fachgerechte prothetische Versorgung zu schaffen. Doch das sei nur ein Teil des digitalen Workflows. Zwar ist der Einsatz computergestützter Scan- und Fertigungstech­nologien zur Herstellung von implantatgetragenem Zahnersatz oder Teilen für viele Anwender in Labor und Praxis bereits Realität. Doch allein schon die Modell­kontrolle ist wieder analog ebenso wie es bei herausnehmbaren Arbeiten analoger Schritte bedarf. Auch wenn Intraoralscans für bestimmte Arbeiten analoge Abformungen über­flüssig machen, stößt die digitale Abformung an ihre Grenzen, wo starke Angulationen prothetisch aus­geglichen werden müssen. Das gilt gleichlautend für suboptimal positionierte Implantate, die sich auf Basis von Intraoralscans nicht prothetisch exakt versorgen lassen. Ein digitaler Workflow funktioniere nur im Team, so Dr. Gehrke.

Intraorales Scanning ist weit mehr als nur Abformung, es ist Dokumentation und Qualitäts­kontrolle. Werden direkt nach Insertion die Implantatpositionen ins Labor übertragen, erhält der Zahnarzt ein unmittelbares Feedback als entscheidendes Kriterium vor der Anfertigung individueller CAD/CAM-Aufbauten in den Fällen, wo standardisierte Komponenten nicht mehr ausreichen. Mit individuellen Healing-Abutments lässt sich das gewünschte Emergenzprofil ausformen und die Daten können für die finale Versorgung übernommen werden. Das Risiko, die Mukosa durch die Krone zu stark zu verdrängen, ist damit ausgeschlossen: ein digitaler Workflow mit klinischem Nutzen.

Für provisorische Versorgungen, insbesondere im ästhetisch sichtbaren Bereich, wird unmittelbar nach Insertion ein Scan an das Labor gesendet, wo aus einem entsprechenden Kunststoffblock die provisorische Versorgung samt zugehöriger Anschlussgeometrie herausgefräst und bei Bedarf jederzeit reproduziert werden kann. Zudem lassen sich alle weiteren Schritte auf diesem Datensatz aufbauen. Ein weiterer „digitaler“ Vorteil liegt in der verlustfreien Verknüpfung verschiedener Komponenten in der Konstruktionssoftware.

Individuelle Komponenten wie Abutments lassen sich CAD/CAM-geführt in dem gewünschten Design und den bevorzugten, auch neuen Materialien herstellen. So weisen einteilige und mit Nitrit-beschichtete Titanabutments eine hohe Biokompatibilität bei nur noch geringem Farbshift auf und bieten eine hohe Biege-Bruch-Festigkeit. Bei Volumen­defiziten wiederum können die gewünschte Mukosastruktur und die ideale Menge des gewünschten Weichgewebes mit virtueller Planung noch vor dem chirurgischen Eingriff festgelegt werden.

Grenzen findet der digitale Workflow bei multiplen Implantaten und der frästechnischen Herstellung einer passiv sitzenden NEM-Brücke. Position und Ausrichtung der Implantate exakt abzuformen, gelingt nur analog, eine entsprechende intraorale Erfassung scheitert (noch) am inhärenten Mismatch der Scanbodies.

Bei implantatgetragenen, CAD/CAM-gefrästen Stegen ist die Topografie der transmuko­salen Oberfläche für die Integration der Weichgewebe und der Reduzierung von Plaque- und Bakterienretentionen ausschlaggebend. Hier zeigen profilometrische Analysen Qualitätsunterschiede in der externen Herstellung, die eine manuelle Nachbearbeitung im Labor notwendig machen.

Ebenfalls nicht im rein digitalen Workflow, sondern nur mit analogen Zwischenschritten realisierbar ist die prothetische Versorgung schmaler Implantate in engen Lücken mit individualisierten Standardaufbauten, wie sie nach kieferorthopädischer Behandlung von Nichtanlagen auftreten können.

Der externe, innerhalb des Weichgewebes oder in der Nähe von krestalem Knochen liegende Mikrospalt bei Hybridaufbauten wie zweiteiligen Zirkonabutments kann aus funktioneller, biomechanischer und insbesondere auch aus biologischer Sicht als klinisch nicht relevant angesehen werden. Daher eignen sich solche Hybridaufbauten sowohl für den Front- wie den Seitenzahnbereich.

Das Acuris-Konzept für die implantatprothetische Einzelzahnversorgung mit präfabrizierten Metallkomponenten und der durch Friktion haftenden, jedoch bedingt abnehmbaren konometrischen Krone braucht ebenfalls noch den analogen Workflow bzw. die analoge Abformung.

 

Literatur

Almasri R, Drago CJ, Siegel SC, Hardigan PC: Volumetric misfit in CAD/CAM and cast implant frameworks: a university laboratory study J Prosthodont. 2011 Jun:20(4):267-74.

Aslan S, Tolay C, Gehrke P: Computer-aided planning of soft tissue augmentation with prosthetic guidance for the establishment of a natural mucosal contour in late implant placement. J Esthet Restor Dent. 2019 Nov;31(6):553-560.

Gehrke P, Burg S, Peters U, Beikler T, Fischer C, Rupp F, Schweizer E, Weigl P, Sader R, Smeets R, Schäfer S: Bacterial translocation and microgap formation at a novel conical indexed implant abutment system for single crowns. Clin Oral Investig. (2021) https://doi.org/10.1007/s00784-021-04112-2.

Gehrke P, Dinkel J, Fischer C, Schmenger K, Sader R: Surface Roughness and Necessity of Manual Refinishing Requirements of CAD/CAM-Manufactured Titanium & Cobalt-Chrome Bars – A Pilot Study. The Open Dentistry Journal, 2019, (13):315-326.

Gehrke P, Fischer C, Peters U, Hartjen P, Geis-Gerstorfer J, Smeets R, Weigi P, Schäfer S: Marginal Adaptation & Microbial Leakage at Conometric Prosthetic Connections for Implant Supported Single Crowns: An InVitro Investigation. Int J Mol Sci. 2021 Jan;22(2):881.

Gehrke P, Sing T, Fischer C, Spintzyk S, Geis-Gerstorfer J: Marginal and Internal Adaptation of Hybrid Abutment Assemblies After Central and Local Manufacturing, Respectively. int J Oral Maxillofac Implants. Jul/Aug 2018;33(4):808-814.

Gehrke P, Zimmermann KP. Weinhold O, Dhom G, Fischer C. Sader R: Optical efficacv of titanium nitride coated abutment material on soft tissue discoloration: A spectrophotometric in-vitro analysis. Int J Oral Maxillofac Implants. Jul-Aug 2021;36(4):e91-e96.

Stimmelmayr M, Güth JF, Erdelt K, Edelhoff D, Beuer F: Digital evaluation of the reproducibility of implant scanbody fit - An in vitro study- Clin Oral Investia. 2012 Jun:16(3):851-6.

Fokke Jan Middendorp, Unternehmer (Bluem Europe BV) aus VH Wijhe in den Nieder­landen, sprach über die topische Sauerstofftherapie (TOT) als effektiven Weg zur Verhinde­rung polymikrobieller Biofilm-assoziierter Infektionen und damit zur Vorbeugung und Heilung von Parodontitis und periimplantären Erkrankungen, zum Beispiel bei Gewebe­verluste infolge von Dehiszenzen und Nekrosen nach umfangreichem Knochenaufbau. Für die klinische, intraorale Anwendung wird Aktivsauerstoff mittels eines stabilisierten, aktiven Sauerstoff produzierenden Gels lokal direkt in das Wundbett appliziert.

Die TOT basiert auf der hyperbaren Sauerstofftherapie oder auch Sauerstoffüberdruck­behandlung (Hyperbare Oxigenation, HBO). Die Wirkungen der HBO – in den Niederlanden als Therapieform anerkannt – sind durch umfangreiche experimentelle Studien gut definiert und lassen sich auf physikalische, physiologische und biochemische Prozesse zurückführen. So unterstützt die HBO eine erfolgreiche Wundheilung, da in diesem Fall ein erhöhter Bedarf an sauerstoffassoziierten, reparativen Prozessen wie Zellproliferation, Bakterien­abwehr, Neoangiogenese und Kollagensynthese besteht. Bei hypoxiebedingten Problemen im Bereich des Knochengewebes ermögliche die HBO/TOT damit einen vermehrten Abbau nekrotischen Materials durch eine verstärkte Osteoklastentätigkeit sowie einen Knochen­neuaufbau durch eine sauerstoffinduzierte Aktivierung der Osteoblasten. Auch bei freien Knochentransplantaten beschleunige die Wundoxygenierung die Einheilungsvorgänge und Umbauprozesse.

Hauptwirkstoffe des farblosen und geschmacksneutralen Gels sind – neben über 100 mg/l O2 – Natriumperborat sowie das Enzym Glucose-Oxidase in Form von Honig-Extrakt. Beide Stoffe setzen beim Auftrag auf die Verletzung kontrolliert Wasserstoffperoxid in niedrigen physiologischen Konzentrationen (0,15 %) frei, womit die topische Angiogese günstig beeinflusst und eine ausreichende antimikrobielle Wirkung erzielt wird, während eine höhere, zur Desinfektion im Handel erhältliche Konzentration von 3 Prozent v/v an Wunden oxidative Schäden verursachen kann. In verschiedenen Arbeiten konnte für die topische Sauerstofftherapie aufgezeigt werden, dass

  • die Oxygenierung des Gewebes an Periimplantitis-Stellen im Vergleich zu gesunden Stellensignifikant verringert war und mit Aktivsauerstoff positive Ergebnisse bei der Vorbeugung und Heilung von Parodontitis und periimplantären Erkrankungen erzielt werden können;
  • gründliche subgingivale Zahnsteinentfernung und Wurzelglättung zusammen mit einer adjuvanten topischen Sauerstofftherapie zur Verringerung parodontaler Taschen führen;
  • Zahnpasten, die aktiven Sauerstoff und Lactoferrin (BM) enthalten, eine vergleichbare Wirksamkeit gegen Plaque und Mukoviszidose aufweisen wie triclosanhaltige Zahnpasten;
  • die Risiken gängiger antimikrobieller Substanzen wie CHX für die orale Mikroflora (Osteoblastentoxizität) durch die alternative Sauerstoffapplikation ausgeschlossen werden;
  • mit Sauerstoffzufuhr Anastomosenleckagen vermindert auftreten.

Literatur (Auszug)

Beekmanns HCS, Meijer GJ, Barkhuysen R, Blidorp PA, Merkx MA, Jansen J: The hydroxylapatite-bone interface: 10 years after implant installation. Int J Oral Maxillofac Surg 2008 Aug;37(8):768-772.

Cunha EJ, Auersvald CM, Deliberador TM, Gonzaga CC, Esteban Florez FL, Correr GM, Storrer CLM: Effects of Active Oxygen Toothpaste in Supragingival Biofilm Reduction: A Randomized Controlled Clinical Trial. Int J Dent. 2019 Jul 1;2019:3938214.

Grootveld M, Lynch E, Page G, Chan W, Percival B, Anagnostaki E, Valin M, Bordin-Aykroyd S, Crootveld K: Potential Advantages of Peroxoborates and Their Ester Adducts Over Hydrogen Peroxide as Therapeutic Agents in Oral Healthcare Products: Chemical/Biochemical Reactivity Considerations In VitroEx Vivo And In Vivo. Dent J (Basel) 2020 Aug 7;8(3):89.

Mostajo MF, Reijden W, Buijs M, Beertsen W, Weijden F, Crielaard W, Zaura E: Effect of an oxygenating agent on oral bacteria in vitro and on dental plaque composition in healthy young adults.
Front Cell Infeect Microbiol. 2014;4:94.

Niveda R, Kaarthikeyan G: Effect of Oxygen Releasing Oral Gel Compared to Chlorhexidine Gel in the Treatment of Periodontitis. J Pharmaceut Res Int 32(19):75-82, 2020.

Schreml S, Szeimies RM, Prantl L, Karrer S, Landthaler M, Babilas P: Oxygen in acute and chronic wound healing. Br J Dermatol. 2010 Aug;163(2):257-68.

Shibli JA, Rocha TF, Coelho F, de Oliveira Capote TS, Saska S, Melo MA,Pingueiro JMS, de Faveri M, Bueno-Silva B: Metabolic activity of hydro-carbon-oxo-borate on a multispecies subgingival

Smet de GHJ, Kroese LF, Menon AG, Jeekel J, van Pelt AWJ, Kleinrensink GJ, Lange JF: Oxygen therapies and their effects on wound healing. Wound Repair Regen. 2017 Aug;25(4):591-608.

Vörös P, Dobrindt O, Perka C, Windisch C, Matziolis G, Röhner E: Human osteoblast damage after antiseptic treatment. Int Orthop.2014 Jan;38(1):177-182.

Dr. Dr. Lars Bonitz, Oberarzt am Klinikum Dortmund, forscht an der Optimierung effektiver Schienentherapien bei Vorliegen einer obstruktiven Schlafapnoe (OSA). Allein in Deutsch­land sind rund 20 Millionen Personen davon betroffen. Dabei kann es während des Schlafs je nach Symptomstärke durch wiederholten Kollaps der oberen Atemwege zu mehrfachen Atempausen (Apnoe-Hyponoe-Index AHI) von bis zu 40 Sekunden kommen. Ab einem AHI-Wert von fünf spricht man von einer leichten, ab 15 von einer mittelschweren und ab 30 von einer schweren Form der Schlafapnoe.

Unbehandelt sind die Folgen einer wiederholten Sauerstoffentsättigung erheblich: morgendliche Kopfschmerzen, Tagesmüdigkeit, Konzentrationsstörungen, Depression, Arteriosklerose, Bluthochdruck, kognitive Dysfunktionen, demenziellen Erkrankungen und anderes mehr. Auch mit kardialer Ischämie, Herzrhythmusstörungen und Schlaganfällen wird die OSA in Verbindung gebracht. Für ein Viertel aller tödlichen Kfz-Unfälle ist der Sekundenschlaf ursächlich, der wiederum durch OSA hervorgerufen werden kann. Eine OSA schränkt die Lebensqualität deutlich ein und kann unbehandelt die Lebenszeit um bis zu 18 Jahren verkürzen. Das Problem aber ist, dass die OSA bzw. der AHI-Grad als Auslöser nur retrospektiv und zum Teil erst mit langjähriger Verzögerung erkannt wird. Ziel muss daher eine optimierte Diagnostik sein, um die potenzielle Entwicklung frühzeitig bewerten und therapieren zu können. Approximative virtuelle Simulationen, basierend auf Methoden der „künstlichen Intelligenz“, bieten hierfür einen erfolgversprechenden Ansatz.

Aktueller Goldstandard für die Diagnose ist die Polysomnographie. Nasenklemme, Unter­kieferprotrusionsschiene und CPAP-Masken sind die je nach AHI-Grad gängigen Therapie­mittel. Während bei Kindern eine Tonsillektomie durchaus gute Wirkung erzielt, bringen chirurgische Intervention bei Erwachsenen meist keinen dauerhaften Effekt, da die eigent­lichen Ursachen – der Kollaps der Weichgewebe – nicht „geheilt“ wird. Unterkieferprotrusionsschienen – mittlerweile gibt es eine grundsätzliche, in der genauen Höhe noch offene Kostenübernahme durch die Krankenkassen – können als probates Therapiemittel hingegen im unteren/mittleren AHI-Bereich eingesetzt werden.

Mit dreidimensionalen Aufnahmen und entsprechender Software (SICAT Air) können die oberen Atemwege mittlerweile zwar realistisch dargestellt und Engstellen sichtbar gemacht werden, aber der entscheidende Auslöser einer OSA ist nicht der Durchmesser der Atem­wege, sondern ihre Verlegung durch im Atemstrom flotierendes Weichgewebe. Daher müssen Strukturen und Strömung in ihrer Wechselwirkung möglichst patientenspezifisch erfasst werden.

Das verlangt Kenntnisse über die Art und Lokalisation des beweglichen Weichgewebes, das im Atemstrom schwingt und die Atemwege verlegen kann. Da es jedoch keine Möglichkeit gibt, den Kollaps – Unterkiefer und Zunge sinken nach unten, die Atemwege verengen sich – bei lebenden Patienten zu beobachten, gibt es viele Unsicherheiten in Bezug auf Diagnose und Therapieerfolg.

Ein neuer Behandlungsansatz (Studie gefördert durch das BMBF, Projekt-ID 13GW065A) bedient sich der Methoden der „Artificial Intelligence“ (AI) bzw. der „Künstlichen Intelligenz“ (KI) und erlaubt auf Basis patientenspezifischer CFD- und FSI-Simulationen (Computational Fluid Dynamics bzw. Fluid-Struktur-Interaktion) der oberen Atemwege die strömungs­mechanischen Parameter mit numerischen Methoden zu erfassen, als approximative Strömungsbilder darzustellen und darüber die schienentherapeutischen Maßnahmen zu optimieren. Die Validierung der virtuellen Modelle erfolgt über 3D-gedruckte Atemwegs­modelle einschließlich der Weichgewebe. Bei allen Studienteilnehmern konnten KI-basiert die für die Obstruktion anatomisch relevanten Regionen erfasst und eine Vorhersage über die Wirksamkeit der Therapie mittels Protrusionsschiene getroffen werden.

Die Ergebnisse machen Hoffnung, dass aussagekräftige Strömungssimulationen frühzeitig lokale, patientenindividuell anatomische Ursachen für eine OSA detektieren und sich daraus optimierte therapeutische Maßnahmen für OSA-Patienten ableiten lassen. Zudem kann durch Einbindung entsprechender altersabhängiger Korrelationen der biomechanischen Parameter die Progression der Erkrankung präventiv antizipiert und berücksichtigt werden. Der Zeitaufwand für eine patientenspezifische Diagnostik und eine individuelle Therapie wird erheblich verkürzt und die Erfolgsquote der Behandlung mittels Schienentherapie erhöht.

 

Literatur

Bodez D, Damy T, Soulat-Dufour L, Meuleman C, Cohen A: Consequences of obstructive sleep apnoea syndrome on left ventricular geometry and diastolic function. Arch Cardiovasc Dis. 2016 Aug-Sep:109(8-9):494-503.

Chang WP, Liu ME, Chang WC, Yang AC, Ku YC, Pai JT, Lin YW, Tsai SJ: Sleep apnea and the subsequent risk of breast cancer in women: a nationwide population-based cohort studv. Sleep Med. 2014 Sep:15(9):1016-20.

De Mello MT, Narciso FV, Tufik S, Paiva T, Spence DW, Bahammam AS, Verster JC, Pandi-Perumal SR: Sleep disorders as a cause of motor vehicle collisions. Int J Prev Med. 2013 Mar:4(3)246-57.

Drew D, Qaddoura A, Baranchuk A: The relationship between obstructive sleep apnea and atrial fibrillation in special patient populations. Expert Rev Cardiovasc Ther. 2014 Nov:12(11):1337-48.

Kendzerska T, Gershon AS, Hawker G, Leung R, Tomlinson G: Obstructive sleep apnea and risk of cardiovascular events and all-cause mortality: a decade-long historical cohort study. PLoS Med. 2014 Feb 4:11(2):e1001599.

Ma L, Zhang J, Liu Y: Roles and Mechanisms of Obstructive Sleep Apnea-Hypopnea Syndrome and Chronic Intermittent Hypoxia in Atherosclerosis: Evidence and Prospective. Oxid Med Cell Longev.2016;2016:8215082.

Vrints H, Shivalkar B, Hilde H, Vanderveken OM, Hamans E, Van de Heyning P. De Backer W, Verbraecken J: Cardiovascular mechanisms and consequences of obstructive sleep apnoea. Acta Clin Belg. 2013 May-Jun;68(3):169-78.

 

 

Experten-Tipps
 

Hier finden Sie Tipps von PEERS-Mitgliedern, die in Arbeitsgruppen oder den regionalen Gruppen erarbeitet und von allen konsentiert wurden. Sie sollen Antworten auf häufig wiederkehrende Fragen im Praxisalltag bieten, neue Behandlungskonzepte vorstellen und die entsprechende Vorgehensweise erläutern oder die Kommunikation mit den zuweisenden Kolleginnen und Kollegen oder kooperierenden Zahntechnikerinnen und Zahntechnikern erleichtern.

Die Tentpole-Technik zur Verdickung von Hart- und Weichgewebe

Privatdozent Dr. Dr. Markus Schlee

Die sogenannte Tentpole-Technik ist eine Methode zur Weichgewebsexpansion im Zusammenhang mit einer vertikalen Knochenaugmentation. Ziel dieser Technik ist es, durch eine zeltdachartige Anhebung von Periost und Weichgewebe die Effektivität einer Knochenaugmentation und somit den Zugewinn an Knochen im Vergleich zur konventionellen Augmentation zu erhöhen.

Workflow für Orientierungs- und 3D-Führungsschablonen

Prof. Dr. Dr. Nils-Claudius Gellrich und die Mitglieder der Gruppe PEERS Weser

Der vorgestellte Workflow wurde von den Mitgliedern der PEERS-Gruppe Weser unter Zusammenarbeit von Mund-, Kiefer- und Gesichtschirurgen, Zahnärzten und Zahntechnikern erstellt, um die analoge oder digitale Behandlungsplanung mit Implantaten zu erleichtern.
  

PEERS-Fallberichte
 

Die Fallberichte der PEERS-Mitglieder beschreiben Behandlungskonzepte, stellen die Entwicklung von analoger zu digitaler Vorgehensweise dar und befassen sich mit den Therapieoptionen, die das Portfolio von Dentsply Sirona bietet.

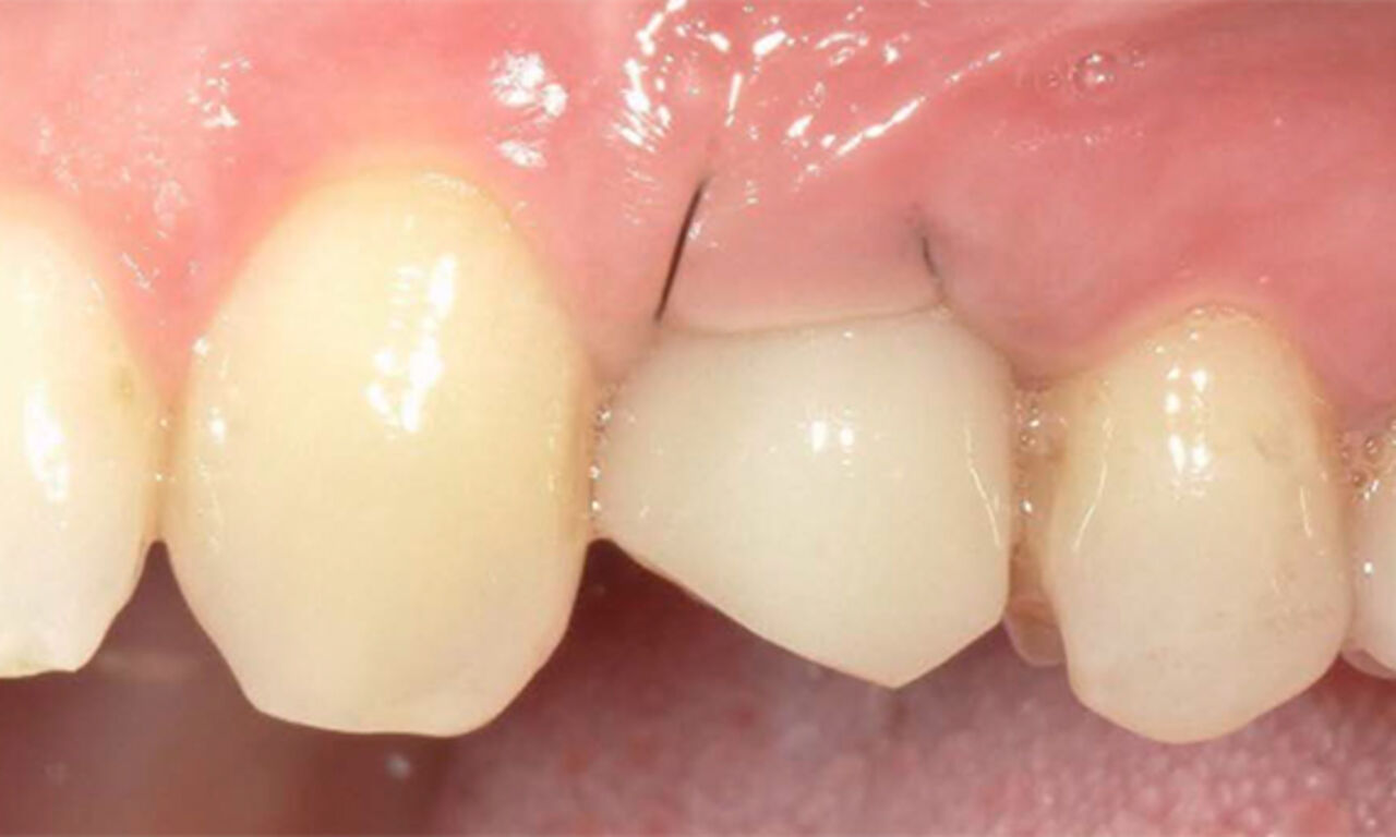
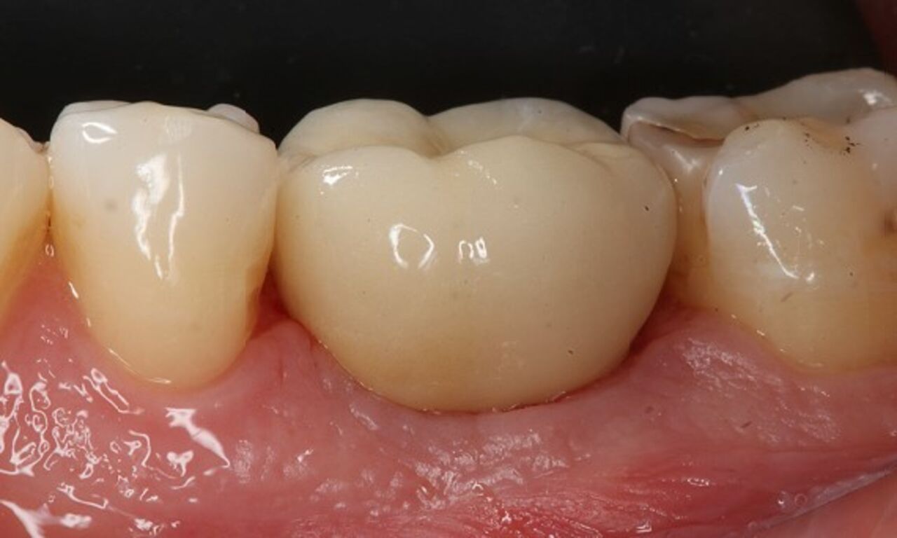
Einfluss der prothetischen Form auf die marginalen Weichgewebe
 

ZA Lars Ahlskog, Tuttlingen

Benefit from experience!
 

ZA Thomas Döhler

3 MB

Gestern und heute: Implantatprothetik im Frontzahngebiet


Dr. Helmut G. Steveling, ZTM José de San José González

Den Artikel als CME-Fortbildung (unter ID: 93553, 2 CME-Punkte) finden Sie auch auf dem online-Kanal der zwp, bitte folgen Sie diesem Link.

 

PEERS-Umfragen
 

Zweimal jährlich werden Umfragen unter den PEERS-Mitgliedern durchgeführt, die Fragen zu aktuellen Themen der Implantologie, Behandlungskonzepten, Vorgehensweisen in der täglichen Praxis, zahntechnischen Abläufen oder auch Rückmeldungen zu den verfügbaren Produkten usw. beinhalten.

Diese Ergebnisse werden im Anschluss analysiert und die detaillierte Auswertung den Mitgliedern zur Verfügung gestellt. Dies bietet für alle Mitglieder die Möglichkeit, die eigene Vorgehensweise zu evaluieren. 

Augmentation mit autologem Knochen oder mit Knochenersatzmaterialien

 

Entscheidungsparameter zur Verwendung von Hybrid-Abutments in der täglichen Praxis

 

Konzepte zur Sofortimplantation und Sofortbelastung

Röntgendiagnostik in der Zahnmedizin