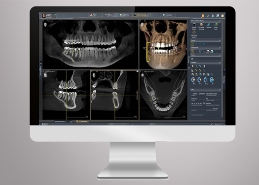
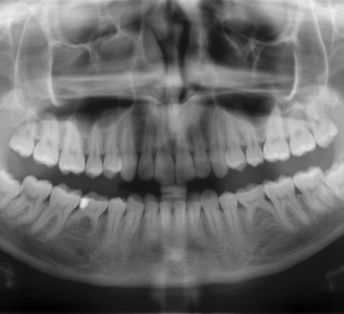
Die durch ein 3D-Bild gelieferte Datenqualität ist eine revolutionäre Kraft in der Dentaldiagnostik. Die Möglichkeit, überlagerte Zähne, unerwartete Kanäle und verdeckte Wurzeln zu visualisieren, erhöht die Genauigkeit und Aussagekraft bei der Diagnose eines Patienten. Ein besseres Verständnis und mehr Vertrauen wirken sich positiv auf die Akzeptanz der Patienten und den Behandlungserfolg aus.
Orthophos S kann jederzeit mit 3D-Funktionen aufgerüstet werden, so dass sich das Röntgengerät an Ihr Leistungsspektrum anpasst und sich mit Ihrer Praxis fortentwickeln kann. Bei diesen beiden 3D-Modellen entscheiden Sie und jeweils fallbasiert, ob Sie hochauflösende Volumina für feine Strukturen (HD) oder einen Low-Dose-Filter für dichte Strukturen verwenden möchten.
Volumen
Wenn es um Volumengröße, Dosis und Bildqualität geht, bringt jeder klinische Fall individuelle Anforderungen mit sich. Wählen Sie das geeignete Volumen für Ihren Bedarf: Vom fokussierten Ø 5 cm x 5,5 cm Volumen bis zum Ø 11 cm x 10 cm Volumen, das die Weisheitszähne und oberen Atemwege abbildet.
Metal Artifact Reduction Software (MARS)
Metallartefakte sind eine Herausforderung in der 3D-Bildgebung. Röntgendichte Objekte erzeugen bei der dreidimensionalen Rekonstruktion Schatten- und Streifeneffekte, die die Befundung stören. MARS reduziert automatisch Metallartefakte und erleichtert somit die Diagnose.
High Definition-Modus (HD)
Der Standard-Definition-Modus (SD) liefert grundlegende klinische Informationen, die für eine Diagnose benötigt werden. In einigen klinischen Fällen ist eine höhere Bildqualität mit besserer Sichtbarkeit feiner Strukturen für die Behandlungsplanung und -durchführung erforderlich. Der HD-Modus nimmt während eines Umlaufs bis zu 1.400 Einzelbilder auf und führt sie zu einem rauscharmen 3D-Volumen mit hoher Auflösung von bis zu 80 μm zusammen. Dieser Modus garantiert somit eine schnellere und sicherere Diagnose innerhalb des aufgenommenen Volumens.
Low Dose-Modus
Der optimierte Low Dose-Modus mit dediziertem Filter ermöglicht die Abbildung dichter Strukturen wie etwa Knochen bei stark reduzierter Dosis. Damit ist Low Dose bei vielen klinischen Aufgaben eine effiziente Option – insbesondere in der Kieferorthopädie oder Implantologie. Mit 3D-Bildgebungsfunktionen benötigen Patienten keine Überweisung mehr für ein DVT, was den Prozess rationalisiert und Ihr Dienstleistungsangebot erweitert.