3D印刷技術によって、どのように作業が簡素化され、加速され、喜ばれるかをご覧ください。臨床事例を活用して、同僚の方々は毎日の診療とラボでのタスクにおいてPrimeprintの付加価値をデモンストレーションします。歯科医師であるあなたは、以下のことに気づかれるでしょう:患者さんは最新の技術に感心するとともに、高いレベルの歯科治療を高く評価しています。さらに、3D印刷技術を使用する歯科技工士は、ラボでのフォーカスがデジタル製造にあることを診療パートナーに指摘するかもしれません。

インプラントロジーのための3D印刷ガイド

62歳の男性が、修復不可能な10番の歯が折れた状態で私の診療所を受診しました。私たちは、Primeprintで製造されサージカルガイドとテンポラリーブリッジを備えた単一のインプラントを計画しました。手術は20分で終了し、テンポラリーブリッジの接着に要したのは10分でした。

Before: 修復不可能な10番の歯が折れた状態の初期状態

Usage: フィット感に優れたPrimeprint ガイド素材を使用した3D印刷サージカルガイドの配置

After: 3D印刷されたワンウィング・メリーランドブリッジをPrimeprint テンポラリー素材で仮修復する

博士 Dan Butterman氏

センテニアル、米国

前歯再生用の 溝付きダイを備えた3D印刷されたモデル

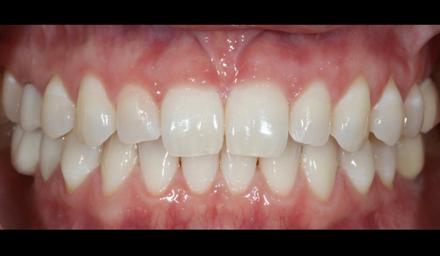
47歳の女性が、最近別の医院で行われた前歯の6本のジルコニア クラウンについて懸念を抱き、私の診療所を受診しました。Primeprint ソリューションの効率性と使いやすさにより、治療当日にモデルを素早く印刷できるため、CEREC Primemillで最終的な製作を行う前に患者さんに治療のプレビューを提示することができます。

Before: 笑ったときに唇が著しく非対称になる初期の口腔状況

Usage: Primeprint モデル材料で製造された溝付きダイを備えた3D印刷モデル

After: 最終修復物 

Mike Skramstad博士

オロノ、米国

前歯再生用の 夜間の歯ぎしりに対するスプリント

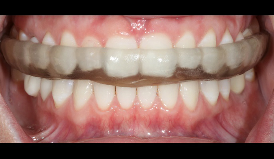
夜間の歯ぎしりの症状を訴えて私の診療所を訪れた34歳の男性は、筋肉の痛みを訴えていました。私たちは、夜間に取り外し可能なマウスガードを付けることで歯列の摩耗を最小限に抑えられると判断しました。

Before: 夜間歯ぎしりの症状がある

初期の口腔状況

Usage: 印刷するオブジェクトの最終決定

After: Primeprintスプリント素材で製造された、取り外し可能な3D印刷スプリント

博士 Meena Barsoum氏

アーリントンハイツ、米国

前歯再生用の インプラントロジーのためのサージカルガイドと3D印刷による仮修復

58歳の男性患者は、30番の歯が欠損しており、健康な歯の構造を維持しながら自然な咀嚼機能を回復するために、私の診療所を訪れました。隙間はインプラントとセラミッククラウンで修復される予定でした。私は治療をデジタルで計画し実施しました。

Before: 歯が欠損している当初の口腔内の状況

Usage: Primeprint Guide素材を使用して製造された3D印刷サージカルガイド

After: Primeprint Temp素材を使用した3D印刷の仮修復物 (最初の比較) と最終修復物 (2番目の比較)

Dr. Gerd Frahsek

フェルバート、ドイツ

前歯再生用の 個々の印象トレー

残存歯がほとんどなく、以前は鋳造模型の義歯を使用していた73歳の女性患者のために、目に見えるリテイニング要素のない、優れた審美性を誇る取り外し可能な義歯を製作することになりました。彼女はこれまでのありがちな印象に不満を感じており、それを避けたいと考えていました。タスクは、必要なインプレッションを最小限に抑えることにありました。

Before: 患者さんの下顎のデジタルモデルの初期の状態

Usage: Primeprint トレーとPrimeprint モデル材料を使用して製造された、3D印刷モデル上の3D印刷された印象用トレー

Christian Schuchmann氏

ダルムシュタット、ドイツ

お問い合わせ

デンツプライシロナが提供するPrimeprint ソリューションの詳細をご覧ください。