SureSmile
Orthodontics
Case Study
Spectra
Restorative
Product Training

Patient Details

Age

36 years old

Gender

Female

Bonded attachments with TPH Spectra® ST universal composite restorative for SureSmile® Clear Aligners

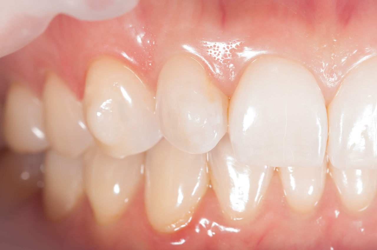
Initial situation of the patient

 

After a thorough examination and discussion of the patient's dental history, Dr. Silveira determined that a SureSmile® Clear Aligner treatment would be the best course of action to gradually move the patient’s teeth into the desired position. The main goals of this treatment were to align the upper lateral incisors, improve overall guidance and occlusion.

Dr. Amaury de Moraes Silveira

Dentsply Sirona Certified KOL since 2010, Londrina - PR/Brazil

Case Details

Date of Issue

June 2023

This case report is published as an inspiration for you as a clinician and not necessarily as a recommendation from Dentsply Sirona

Diagnosis

The main goals of this treatment were to align the upper lateral incisors, improve overall guidance and occlusion.

Treatment Plan

  • To prepare for the treatment, Dr. Silveira took digital impressions of the patient's teeth using a PrimeScan® intraoral scanner which allowed him to create a custom treatment plan tailored to the patient's specific needs and goals. 
  • Using dental treatment software, it was possible to show the patient a visual representation of how the teeth would gradually move into the desired position throughout the course of the treatment, enabling realistic expectations for the outcome. 
  • Once the treatment plan was finalized, a series of custom SureSmile® Clear Aligners were designed to fit the patient's teeth precisely. 
  • Dr. Silveira also placed composite attachments which were made with TPH Spectra® ST universal composite restorative to guide the movement of the teeth during the treatment process. 

Workflow

Step 1: Prepare Teeth

  • Isolate with cheek retractors
  • Polish teeth with fluoride free pumice
  • Rinse and dry teeth
  • Apply etchant gel (Caulk® 34% Tooth Conditioner) for 30 seconds
  • Apply suction, rinse and dry

Step 2: Apply Adhesive

  • Apply Prime&Bond elect® adhesive and agitate for 20 seconds

Step 3: Air dry adhesive

  • Gently air dry each tooth for at least 5 seconds. Tooth surface should have a uniform, glossy appearance

Step 4: Light cure adhesive

  • Light cure each treated tooth surface with SmartLite® Pro for 10 seconds

Step 5: Prepare attachment tray

Fill the attachment template with TPH Spectra® ST composite. Compules® Tips are recommended for precise and easy placement.

Step 6: Pack composite

  • A general IPC composite instrument was used to pack the composite into the attachment well.
  • The Low Viscosity composite was used because it is easiest to adapt into shape.

Step 7: Clean extra composite

  • Use a flocked applicator tip to clean around the attachment well prior to placement. This cleaning step before bonding will save chair time.

Step 8: Place tray

  • The tray filled with composite is placed in patient’s mouth. Light pressure should be applied to each composite attachment to ensure adhesion.

Step 9: Light cure each attachment

  • Each attachment was light cured with SmartLite® Pro for 10 seconds.

Step 10: Check for flash

  • An ultraviolet or black light was used to easily identify any flash

Step 11: Flash Removal

  • Enhance® finishing points were used to remove the remaining composite flash. 

Step 12: Polish Attachment

  • Final results after polishing with the Enhance® PoGo Polishing System. 
  • To remove attachment, use esthetic trimming and finishing carbide burs
  • While the treatment is still ongoing, the patient's teeth have already shown promising movement into the desired position after several months of treatment. 
  • As a result, there is a positive prognosis that the malalignment of the anterior teeth will be corrected.
  • The composite attachments were well-bonded to the tooth surface and provide excellent, natural-looking esthetics for the patient.
  • The patient was impressed by the convenience of the SureSmile® Clear Aligners and delighted with the predictable results, as her smile seems to be improving significantly. 
  • The patient was genuinely impressed by the convenience that SureSmile® Clear Aligners offered. 
  • Unlike traditional braces, she didn't have to worry about metal brackets or wires causing discomfort or difficulty in maintaining oral hygiene. 
  • The ability to remove the aligners for eating, brushing, and flossing made her daily routine much more manageable.
  • Overall, the clinical case presented by Dr. Amaury de Moraes Silveira is illustrative to the successful use of composite attachments to correct malalignment of the anterior teeth. 
  • The use of products from Dentsply Sirona in the treatment highlighted their effectiveness and suitability for dental restorations.
  1. Bonded attachments with TPH Spectra® ST composite are natural-looking and durable
  2. Bonded attachments with SureSmile® Clear Aligners in place

Related Articles